您的位置: 网站首页 >> 产品中心 >> >> 抗体 > 蛋白激酶AKT1,2,3抗体
产品名称:

蛋白激酶AKT1,2,3抗体

产品型号: 产品时间: 2023-03-08
Akt,也称为蛋白激酶B(PKB),是一种57kDa丝氨酸/苏氨酸蛋白激酶。Akt有三种哺乳动物亚型:Akt1(pkb-alpha)、Akt2(pkb-beta)和Akt3(pkb-gamma),其中Akt2和Akt3与Akt1亚型约82%相同。每个亚型都有一个Pleckstrin同源(ph)结构域、一个激酶结构域和一个羧基末端调节结构域。蛋白激酶AKT1,2,3抗体

产品概述

英文名称:AKT1+2+3

中文名称:蛋白激酶AKT1,2,3抗体

抗体来源:兔

克隆类型:多克隆

交叉反应:人、鼠、鼠、鸡、狗、猪、牛、兔、羊​

产品应用:WB=1:500-2000 ELISA=1:500-1000 IHC-P=1:400-800 IHC-F=1:400-800 Flow-Cyt=1μg/Test ICC=1:100-500 IF=1:100-500 (石蜡切片需做抗原修复)  ​

尚未在其他应用程序中测试。

用户终应确定合适稀释浓度。

分子量:56kDa

细胞定位:细胞浆 细胞膜

状态:冻干或液体

浓度:1mg/ml

来源于:KLH conjugated synthetic peptide derived from human AKT1/2/3:401-480/480 

亚型:IgG

纯化方法:affinity purified by Protein A

储存液:0.01M TBS(pH7.4) with 1% BSA, 0.03% Proclin300 and 50% Glycerol.

别    名:pan-AKT; pan AKT; AKT1 + AKT2 + AKT3; AKT1+AKT2+AKT3; AKT1/AKT2/AKT3; AKT 1; AKT; AKT1; AKT-1; AKT1_HUMAN; AKT 2; AKT2; AKT-2; AKT2_HUMAN; AKT 3; AKT3; AKT-3; AKT3_HUMAN; C AKT; cAKT; MGC9965; MGC99656; Oncogene AKT1; PKB; PKB alpha; PKB-ALPHA; PKB beta; PKB gamma; PRKBA; Protein Kinase B Alpha; Protein kinase B; Proto-oncogene c-Akt; RAC Alpha; RAC alpha serine/threonine protein kinase; RAC; RAC PK Alpha; Rac protein kinase alpha; RAC Serine/Threonine Protein Kinase; RAC-alpha serine/threonine-protein kinase; RAC-PK-alpha; v akt murine thymoma viral oncogene homolog 1; vAKT Murine Thymoma Viral Oncogene Homolog 1.  

保存条件:在-20°C下保存一年。避免重复冻融循环。冻干抗体在室温下至少稳定一个月,并在-20°C下保持一年以上。当在无菌pH7.4 0.01M PBS或抗体稀释剂中重组时,抗体在2-4°C下至少稳定两周。

产品介绍

Akt,也称为蛋白激酶B(PKB),是一种57kDa丝氨酸/苏氨酸蛋白激酶。Akt有三种哺乳动物亚型:Akt1(pkb-alpha)、Akt2(pkb-beta)和Akt3(pkb-gamma),其中Akt2和Akt3与Akt1亚型约82%相同。每个亚型都有一个Pleckstrin同源(ph)结构域、一个激酶结构域和一个羧基末端调节结构域。Akt初是从逆转录病毒Akt8中克隆出来的,是许多信号转导途径的关键调节因子。它对细胞增殖和细胞活性的严格控制是多种多样的;在许多类型的癌症中,AKT的过度表达或不适当的激活已经被发现。Akt介导磷脂酰肌醇3激酶(一种由生长因子、细胞因子和胰岛素激活的脂质激酶)的许多下游事件。PI3激酶将Akt招募到膜上,在膜上被pdk1磷酸化激活。一旦磷酸化,Akt从细胞膜分离,并磷酸化细胞质和细胞核中的靶点。​

功能

IGF-1导致Akt3的激活,可能在调节细胞存活中起到作用。能够磷酸化几种已知的蛋白质。没有第二丝氨酸磷酸化位点的截短亚型2/pkbγ1仍能被刺激,但程度较低。​

 亚单位

 通过C端与CCDC88A(通过其C端)相互作用。与GRB10相互作用;这种相互作用导致GRB10磷酸化,从而促进YWhe结合。与AGAP2(亚型2/PIKE-A)相互作用;在鸟嘌呤核苷酸存在的情况下发生相互作用。与Aktip交互。与mtcp1、tcl1a和tcl1b相互作用(通过ph域)。与cdkn1b相互作用;这种相互作用磷酸化cdkn1b促进14-3-3结合和细胞周期进展。与MAP3K5和TRAF6交互。与BAD、PPP2R5B、STK3和STK4交互。与sirt1相互作用(通过ph域)。以磷酸化依赖的方式与srpk2相互作用。与RAF1互动。与trim13相互作用;相互作用泛素化AKT1导致其蛋白酶体降解。与TNK2和CLK2相互作用。(通过C端)与它们4(通过C端)相互作用。与pdpk1相互作用并被pdpk1磷酸化。

 亚细胞定位

 细胞质。细胞核。细胞膜。注=整合素连接蛋白激酶1(ILK1)激活后的细胞核。通过与Tcl1a的相互作用,核易位得到增强。通过TNK2在Tyr-176上的磷酸化导致其定位到细胞膜上,在细胞膜上靶向Thr-308和Ser-473上的进一步磷酸化,从而导致其活化和活化形式易位到核。

 

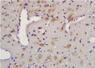
组织/细胞:大鼠脑组织;4%多聚甲醛固定石蜡包埋;

抗原提取:柠檬酸缓冲液(0.01M,pH 6),15min煮沸,用3%过氧化氢阻断内源性过氧化物酶30min;37℃下阻断缓冲液(正常山羊血清)20 min;

孵育:抗-AKT1+2+3多克隆抗体,未结合 1:200,在4°C下过夜,然后与二级抗体结合,DAB染色。

 

重要注意事项:

本产品仅用于研究用途,不用于人类、治疗或诊断应用。

公司优势:
1)质量:我司提供的的试剂为世界
2)价格:价格实惠,量大从优。
4)服务:提供完整的售前、售后和售中服务。售后到底

如需订购蛋白激酶AKT1,2,3抗体​​​,请联系我们。

留言框

  • 产品:

  • 您的单位:

  • 您的姓名:

  • 联系电话:

  • 常用邮箱:

  • 省份:

  • 详细地址:

  • 补充说明:

  • 验证码:

    请输入计算结果(填写阿拉伯数字),如:三加四=7
分享到:
版权所有©2019 上海晅科生物科技有限公司 备案号:京ICP证000000号
  • 扫一扫,关注我们