您的位置: 网站首页 >> 产品中心 >> >> 抗体 > 双调蛋白/结肠直肠细胞源性生长因子抗体
产品名称:

双调蛋白/结肠直肠细胞源性生长因子抗体

产品型号: 产品时间: 2023-03-08
双调蛋白/结肠直肠细胞源性生长因子抗体双iregulin的表达是由佛波酯、雌激素、雄激素和其他EGFR配体诱导的。在体外,安非他命作为一种自分泌生激物来驱动结肠癌细胞、正常和癌基因转化的乳腺上皮细胞、宫颈癌细胞、前列腺癌细胞和角质细胞的增殖。两性霉素在人胎盘和小鼠乳腺发育中起重要作用。据报道,它在乳腺癌、结肠癌、胃癌和胰腺癌中过度表达。

产品概述

英文名称:Anti-Amphiregulin​

中文名称:双调蛋白/结肠直肠细胞源性生长因子抗体

抗体来源:兔

克隆类型:多克隆

交叉反应:人、大鼠、小鼠、狗、牛、马、兔子、绵羊​

产品应用:WB=1:500-2000 ELISA=1:500-1000 IHC-P=1:400-800 IHC-F=1:400-800 Flow-Cyt=1:ug/test IF=1:100-500(石蜡切片需做抗原修复)  ​

尚未在其他应用程序中测试。

用户终应确定合适稀释浓度。

分子量:16kDa

细胞定位:细胞膜

状态:冻干或液体

浓度:1mg/ml

来源于:KLH conjugated synthetic peptide derived from human Amphiregulin:185-252/252

亚型:IgG

纯化方法:affinity purified by Protein A

储存液:0.01M TBS(pH7.4) with 1% BSA, 0.03% Proclin300 and 50% Glycerol.

​别    名:AR; Colorectum cell derived growth factor; CRDGF; A REG; AR antibody; AREG; Colorectum cell derived growth factor; CRDGF; MGC13647; Schwannoma derived growth factor; SDGF; AREG_HUMAN.  ​

保存条件:在-20°C下保存一年。避免重复冻融循环。冻干抗体在室温下至少稳定一个月,并在-20°C下保持一年以上。当在无菌pH7.4 0.01M PBS或抗体稀释剂中重组时,抗体在2-4°C下至少稳定两周。

产品介绍

双iregulin的表达是由佛波酯、雌激素、雄激素和其他EGFR配体诱导的。在体外,安非他命作为一种自分泌生激物来驱动结肠癌细胞、正常和癌基因转化的乳腺上皮细胞、宫颈癌细胞、前列腺癌细胞和角质细胞的增殖。两性霉素在人胎盘和小鼠乳腺发育中起重要作用。据报道,它在乳腺癌、结肠癌、胃癌和胰腺癌中过度表达。​

功能

egf受体/egfr的配体。自分泌生长因子,以及广泛的靶细胞,包括星形胶质细胞,Schwann细胞和成纤维细胞的有丝分裂原。​

亚单位

未成熟前体与CNIH相互作用。​

膜;单通道膜蛋白。​

​​​​​​​​

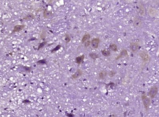
多聚甲醛固定,石蜡包埋(大鼠脑);用柠檬酸钠缓冲液(pH6.0)煮沸15min后获得抗原;用3%过氧化氢阻断内源过氧化物酶20分钟;阻断缓冲液(正常山羊血清)37℃30min;抗体(2 -调节蛋白)多克隆抗体在1:400下孵育。在4°C下,然后根据SP试剂盒(兔子)说明和DAB染色进行操作。

 

重要注意事项:

本产品仅用于研究用途,不用于人类、治疗或诊断应用。

公司优势:
1)质量:我司提供的的试剂为世界
2)价格:价格实惠,量大从优。
4)服务:提供完整的售前、售后和售中服务。售后到底

如需订购双调蛋白/结肠直肠细胞源性生长因子抗体​,请联系我们。

Anti-APP695/770(Amyloid protein precursor 695/770 )  淀粉样肽前体蛋白抗体
Anti-AQP-2(aquaporin Protein-2)  水通道蛋白-2抗体
Anti-AQP-3(aquaporin Protein-3)  水通道蛋白-3抗体
Anti-AQP4(aquaporin Protein-4)  水通道蛋白-4抗体
Anti-AR(Androgen Receptor)  雄激素受体抗体
Anti-AYT (ARG3.1 Activity-regulated cytoskeleton-associated protein)  AYT抗体
Anti-ARF6 (ADP-ribosylation factor 6)  ADP核糖基化因子6抗体
Anti-Aromatase P450  芳香化酶/细胞色素P450/P450抗体
anti-ARIP2a(Activin receptor 2A)  激活素受体2A/激活素受体相互作用蛋白2a抗体

留言框

  • 产品:

  • 您的单位:

  • 您的姓名:

  • 联系电话:

  • 常用邮箱:

  • 省份:

  • 详细地址:

  • 补充说明:

  • 验证码:

    请输入计算结果(填写阿拉伯数字),如:三加四=7
分享到:
版权所有©2019 上海晅科生物科技有限公司 备案号:京ICP证000000号
  • 扫一扫,关注我们