您的位置: 网站首页 >> 产品中心 >> >> 抗体 > 磷酸化蛋白激酶AKT3抗体(p-Akt3)
产品名称:

磷酸化蛋白激酶AKT3抗体(p-Akt3)

产品型号: 产品时间: 2023-03-08
磷酸化蛋白激酶AKT3抗体(p-Akt3)是一种丝氨酸/苏氨酸激酶,参与许多细胞信号传导途径,并作为多种功能的转导子,由激活磷酰肌醇3激酶(pi 3激酶)的生长因子受体启动。AKT/PKB的主要活性是介导细胞存活。AKT/PKB也被认为是癌症发生的一个关键因素,因为发现肿瘤抑制因子PTEN能拮抗PI3激酶和AKT/PKB激酶的活性。这种酶在哺乳动物细胞中有3种已知的亚型

产品概述

英文名称:Anti-phospho-AKT3 (Ser472)​

中文名称:磷酸化蛋白激酶AKT3抗体(p-Akt3)

抗体来源:兔

克隆类型:多克隆

交叉反应:人、大鼠、小鼠、鸡、狗、猪、牛、兔、羊​

产品应用:WB=1:500-2000 ELISA=1:500-1000 IHC-P=1:400-800 IHC-F=1:400-800 IF=1:100-500(石蜡切片需做抗原修复)  ​

尚未在其他应用程序中测试。

用户终应确定合适稀释浓度。

分子量:56kDa

细胞定位:细胞核 细胞浆 细胞膜

状态:冻干或液体

浓度:1mg/ml

来源于:KLH conjugated Synthesised phosphopeptide derived from human AKT3 around the phosphorylation site of Ser472:QF(p-S)YS

亚型:IgG

纯化方法:affinity purified by Protein A

储存液:0.01M TBS(pH7.4) with 1% BSA, 0.03% Proclin300 and 50% Glycerol.

​别    名:Akt3; AKT3 kinase; AKT3_HUMAN; DKFZp434N0250; PKB gamma; PKBG; PRKBG; Protein kinase Akt-3; Protein Kinase AKT3; Protein kinase B gamma; RAC gamma; RAC gamma serine/threonine protein kinase; RAC-gamma serine/threonine-protein kinase; RAC-PK-gamma; RACPK Gamma; Serine threonine protein kinase Akt 3; Serine threonine protein kinase Akt3; STK 2; STK-2; STK2; V akt murine thymoma viral oncogene homolog 3 protein kinase B gamma. 

保存条件:在-20°C下保存一年。避免重复冻融循环。冻干抗体在室温下至少稳定一个月,并在-20°C下保持一年以上。当在无菌pH7.4 0.01M PBS或抗体稀释剂中重组时,抗体在2-4°C下至少稳定两周。

产品介绍

Akt,蛋白激酶B(pkb),是一种丝氨酸/苏氨酸激酶,参与许多细胞信号传导途径,并作为多种功能的转导子,由激活磷酰肌醇3激酶(pi 3激酶)的生长因子受体启动。AKT/PKB的主要活性是介导细胞存活。AKT/PKB也被认为是癌症发生的一个关键因素,因为发现肿瘤抑制因子PTEN能拮抗PI3激酶和AKT/PKB激酶的活性。这种酶在哺乳动物细胞中有3种已知的亚型(1/α,2/β和3/γ)。IGF1导致Akt3的激活,可能在调节细胞存活中起到作用。它能磷酸化几个已知的蛋白质。​

功能

Akt3是3种密切相关的丝氨酸/苏氨酸蛋白激酶(Akt1、Akt2和Akt3)之一,称为Akt激酶,它调节许多过程,包括代谢、增殖、细胞存活、生长和血管生成。这是通过一系列下游底物的丝氨酸和/或苏氨酸磷酸化来介导的。到目前为止,已有超过100种候选底物被报道,但对大多数底物,还没有报道亚型特异性。Akt3是研究少的Akt亚型。它在脑发育中起着重要作用,对恶性胶质瘤细胞的生存至关重要。Akt3亚型也可能是通过IL13上调和下调mmp13的关键分子。需要协调线粒体生物发生与生长因子诱导的细胞能量需求增加。RNA干扰下调BAD磷酸化形式的表达,导致caspase依赖性凋亡的诱导。​

亚单位​

Interacts (via PH domain) with TCL1A; this enhances AKT3 phosphorylation and activation. Interacts with TRAF6

亚细胞定位

细胞质。细胞核。细胞膜。注=整合素连接蛋白激酶1(ILK1)激活后的细胞核。通过与Tcl1a的相互作用,核易位得到增强。通过TNK2在Tyr-176上的磷酸化导致其定位到细胞膜上,在细胞膜上靶向Thr-308和Ser-473上的进一步磷酸化,从而导致其活化和活化形式易位到核。​

​本产品仅用于研究用途,不用于人类、治疗或诊断应用。​

​​​

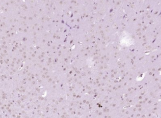
多聚甲醛固定,石蜡包埋(小鼠脑);用柠檬酸钠缓冲液(pH6.0)煮沸15min后获得抗原;用3%过氧化氢阻断内源过氧化物酶20分钟;阻断缓冲液(正常山羊血清)在37℃下30min;用(磷酸-Akt3(Ser47))多克隆抗体进行抗体孵育。T 1:400在4°C下过夜,然后根据SP试剂盒(兔子)说明和DAB染色进行操作。

重要注意事项:

本产品仅用于研究用途,不用于人类、治疗或诊断应用。

公司优势:
1)质量:我司提供的的试剂为世界
2)价格:价格实惠,量大从优。
4)服务:提供完整的售前、售后和售中服务。售后到底

如需订购磷酸化蛋白激酶AKT3抗体(p-Akt3)​​,请联系我们。

anti-Syndecan-1/CD138  多配体聚糖抗体
Anti-CD14(cluster of differentiation antigen 14)  CD14抗体
anti-CD28  CD28抗体
Anti-CD144/VECD (Vascularendothelial cell cadherin/VE-cadherin)  上皮型钙粘附分子/血管内皮钙粘蛋白抗体
Anti-CD147/EMMPRIN(Extracellular matrix metalloproteinase inducer)  单核-巨噬细胞基质金属蛋白酶抗体
anti-CD166/ALCAM(activated leukocyte celladhesion molecule)  活化白细胞粘附分子抗体
anti-ED-1  单核/巨噬细胞表面特异性标志抗原抗体
Anti-CD167a/DDR1  CD167a抗体
Anti-CD169/Siglec-1/sialoadhesin(Sn)(Sialic acid-binding Ig-like lectin 1)  CD169抗体

留言框

  • 产品:

  • 您的单位:

  • 您的姓名:

  • 联系电话:

  • 常用邮箱:

  • 省份:

  • 详细地址:

  • 补充说明:

  • 验证码:

    请输入计算结果(填写阿拉伯数字),如:三加四=7
分享到:
版权所有©2019 上海晅科生物科技有限公司 备案号:京ICP证000000号
  • 扫一扫,关注我们