英文名称:Anti-ADORA2B
中文名称:腺苷A2b受体/神经生长因子1受体抗体
抗体来源:兔
克隆类型:多克隆
交叉反应:人、大鼠、小鼠、狗,兔子,几内亚猪
产品应用:WB=1:500-2000 IHC-P=1:400-800 IHC-F=1:400-800 Flow-Cyt=3ug/test ICC=1:100-500 IF=1:100-500(石蜡切片需做抗原修复)
尚未在其他应用程序中测试。
用户终应确定合适稀释浓度。
分子量:37kDa
细胞定位:细胞膜
状态:冻干或液体
浓度:1mg/ml
来源于:KLH conjugated synthetic peptide derived from human ADORA2B:101-200/332 <Extracellular>
亚型:IgG
纯化方法:affinity purified by Protein A
储存液:0.01M TBS(pH7.4) with 1% BSA, 0.03% Proclin300 and 50% Glycerol.
别 名:Adenosine A2b Receptor; adora 2; adora 2b; ADORA2; ADORA2B; HGNC:264; Netrin 1 receptor; AA2BR_HUMAN.
保存条件:在-20°C下保存一年。避免重复冻融循环。冻干抗体在室温下至少稳定一个月,并在-20°C下保持一年以上。当在无菌pH7.4 0.01M PBS或抗体稀释剂中重组时,抗体在2-4°C下至少稳定两周。
产品介绍
这个基因编码一个腺苷受体,它是G蛋白偶联受体超家族的成员。这种完整的膜蛋白在腺苷存在下刺激腺苷酸环化酶的活性。这种蛋白也与参与轴突伸长的netrin-1相互作用。该基因位于17号染色体Smith-Magenis综合征区域附近。[由RefSeq提供,2008年7月]。
功能:
腺苷受体。这种受体的活性由激活腺苷酸环化酶的G蛋白介导。
亚细胞位置:
细胞膜;多道膜蛋白。
相似性:
属于G蛋白偶联受体1家族。
本产品仅用于研究用途,不用于人类、治疗或诊断应用。
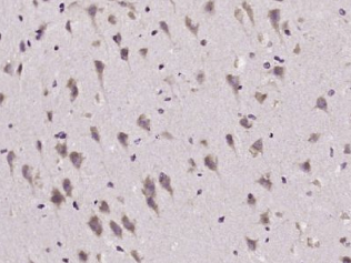
多聚甲醛固定,石蜡包埋(大鼠脑);用柠檬酸钠缓冲液(pH6.0)煮沸15min;用3%过氧化氢阻断内源过氧化物酶20分钟;阻断缓冲液(正常山羊血清)37℃30min;抗体(AdoA2B)多克隆抗体1:400过量孵育。在4°C温度下,按照SP试剂盒(兔子)说明和DAB染色进行操作。
重要注意事项:
本产品仅用于研究用途,不用于人类、治疗或诊断应用。
公司优势:
1)质量:我司提供的的试剂为世界
2)价格:价格实惠,量大从优。
4)服务:提供完整的售前、售后和售中服务。售后到底
如需订购腺苷A2b受体/神经生长因子1受体抗体,请联系我们。
| Anti-Cyclin H 周期素H抗体 |
| Anti-Cygb (cytoglobin) 细胞球蛋白抗体 |
| Anti-CYP450(Cytochrome P450 monooxygenase) 细胞色素P450单氧化酶抗体 |
| anti-Cyr61(cysteine rich 61) 富半胱氨酸肝素结合蛋白61 |
| anti-CYP19 细胞色素P450 19抗体 |
| Anti-Cytochrome C(Cyt C) 细胞色素 C抗体 |
| Anti-Cytokeratin(CT) 细胞角蛋白抗体(C端) |
| Anti-anti-HCMV PP65/HHV5 PP65(Human Cytomegalovirus PP65 ) 人巨细胞病毒PP65/CMV低基质磷脂蛋白抗体 |
| anti-HCMV UL49(Human Cytomegalovirus UL49 Gene) 人巨细胞病毒UL49抗体 |