您的位置: 网站首页 >> 产品中心 >> >> 抗体 > 腺苷受体A3抗体(ADORA3)
产品名称:

腺苷受体A3抗体(ADORA3)

产品型号: 产品时间: 2023-03-08
腺苷受体A3抗体(ADORA3)该基因编码属于腺苷受体家族的一种蛋白质,腺苷受体是G蛋白偶联受体,参与多种细胞内信号传导途径和生理功能。该基因编码的受体在心肌缺血时介导持续的心脏保护功能,参与抑制中性粒细胞介导的组织损伤中的中性粒细胞脱粒,参与神经保护和神经退行性作用,也可能介导细胞增殖和细胞死亡。已发现编码该基因不同亚型的多种转录变体。

产品概述

英文名称:Anti-Adenosine A3 Receptor​

中文名称:腺苷受体A3抗体(ADORA3)

抗体来源:兔

克隆类型:多克隆

交叉反应:人、大鼠、小鼠​​​、​狗、猪、牛、兔、羊​

产品应用:WB=1:500-2000 ELISA=1:500-1000 IHC-P=1:400-800 IHC-F=1:400-800 Flow-Cyt=1μg /test IF=1:100-500(石蜡切片需做抗原修复)  ​

尚未在其他应用程序中测试。

用户终应确定合适稀释浓度。

分子量:35kDa

细胞定位:细胞膜​

状态:冻干或液体

浓度:1mg/ml

来源于:KLH conjugated synthetic peptide derived from human ADORA3:85-180/347

亚型:IgG

纯化方法:affinity purified by Protein A

储存液:0.01M TBS(pH7.4) with 1% BSA, 0.03% Proclin300 and 50% Glycerol.

​别    名:adenosine A3 receptor; A3AR; AD 026; AD026; ADORA 3; ADORA3; bA552M11.5; RP11 552M11.7; TGPCR1; adenosine receptor A3 isoform 1; adenosine receptor A3 isoform 2; AA3R_HUMAN.

保存条件:在-20°C下保存一年。避免重复冻融循环。冻干抗体在室温下至少稳定一个月,并在-20°C下保持一年以上。当在无菌pH7.4 0.01M PBS或抗体稀释剂中重组时,抗体在2-4°C下至少稳定两周。

产品介绍

该基因编码属于腺苷受体家族的一种蛋白质,腺苷受体是G蛋白偶联受体,参与多种细胞内信号传导途径和生理功能。该基因编码的受体在心肌缺血时介导持续的心脏保护功能,参与抑制中性粒细胞介导的组织损伤中的中性粒细胞脱粒,参与神经保护和神经退行性作用,也可能介导细胞增殖和细胞死亡。已发现编码该基因不同亚型的多种转录变体。[由RefSeq提供,2008年7月]。

 

功能:

腺苷受体。这种受体的活性由抑制腺苷酸环化酶的G蛋白介导。可能在生殖中起作用。

 

亚细胞位置:

细胞膜。

 

翻译后修改:

SER-317上的磷酸化可能是快速脱敏的关键。

 

相似性:

属于G蛋白偶联受体1家族

​​​​​​​​​​​

重要注意事项:

本产品仅用于研究用途,不用于人类、治疗或诊断应用。

​​​

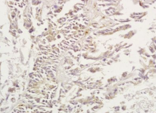
组织/细胞:人胃癌;4%多聚甲醛固定石蜡包埋;

抗原提取:柠檬酸缓冲液(0.01M,pH 6),15min煮沸,用3%过氧化氢阻断内源性过氧化物酶30min;37℃下阻断缓冲液(正常山羊血清,C-00 05)20 min;

孵育:抗Adora3多克隆抗体,未结合1:200,4°C下过夜,然后与二级抗体结合,DAB染色。

公司优势:
1)质量:我司提供的的试剂为世界
2)价格:价格实惠,量大从优。
4)服务:提供完整的售前、售后和售中服务。售后到底

如需订购腺苷受体A3抗体(ADORA3)​​​​​​​​​,请联系我们。

Anti-Galectin-3  半乳糖凝集素-3抗体
Anti-GAP-43 ( Growth associated protein-43 )  神经生长相关蛋白-43(抗体)
Anti-GAPDH (Ribbt Anti-glyceraldehyde-3-phosphate Dehydrogease )  3-磷酸甘油醛脱氢酶
Anti-GAPDH (Ribbt Anti-glyceraldehyde-3-phosphate Dehydrogease )humanAnti-GAPDH (Ribbt Anti-glyceraldehyde-3-phosphate Dehydrogease )human  3-磷酸甘油醛脱氢酶(人)
Anti-GAPDH (Ribbt Anti-glyceraldehyde-3-phosphate Dehydrogease )rat、mouse  3-磷酸甘油醛脱氢酶(大鼠、小鼠)
Anti-GAPDH(Mouse Anti-glyceraldehyde-3-phosphate Dehydrogease ) (暂无现货)  3-磷酸甘油醛脱氢酶(小鼠来源) (暂无现货)
Anti-GAPDH(Ribbt Anti-glyceraldehyde-3-phosphate Dehydrogease )  3-磷酸甘油醛脱氢酶(兔来源免疫组化用抗体)

留言框

  • 产品:

  • 您的单位:

  • 您的姓名:

  • 联系电话:

  • 常用邮箱:

  • 省份:

  • 详细地址:

  • 补充说明:

  • 验证码:

    请输入计算结果(填写阿拉伯数字),如:三加四=7
分享到:
版权所有©2019 上海晅科生物科技有限公司 备案号:京ICP证000000号
  • 扫一扫,关注我们