英文名称:Anti-Aromatase
中文名称:细胞色素P450 19抗体(Aromatase)
抗体来源:兔
克隆类型:多克隆
交叉反应:人、大鼠、小鼠、狗、猪、牛、马、兔、羊
产品应用:WB=1:500-2000 ELISA=1:500-1000 IHC-P=1:400-800 IHC-F=1:400-800 Flow-Cyt=1μg/Test ICC=1:100-500 IF=1:100-500(石蜡切片需做抗原修复)
尚未在其他应用程序中测试。
用户终应确定合适稀释浓度。
分子量:58kDa
细胞定位:细胞膜
状态:冻干或液体
浓度:1mg/ml
来源于:KLH conjugated synthetic peptide derived from human CYP19:41-140/503
亚型:IgG
纯化方法:affinity purified by Protein A
储存液:0.01M TBS(pH7.4) with 1% BSA, 0.03% Proclin300 and 50% Glycerol.
别 名:Cytochrome p450 19A1; Estrogen synthetase; ARO 1; ARO; ARO1; CPV; CYPXIX; Cytochrome P450 family 19 subfamily A polypeptide 1; MGC104309; P 450AROM; P450AROM; CP19A_HUMAN; Cytochrome P-450AROM; CPV1; CYAR; CYP19; Cyp19a1; Cytochrome P450, family 19, subfamily A, polypeptide 1; Cytochrome P450, subfamily XIX (aromatization of androgens); Flavoprotein linked monooxygenase; Microsomal monooxygenase; OTTHUMP00000162543; OTTHUMP00000198350; P 450AROM.
保存条件:在-20°C下保存一年。避免重复冻融循环。冻干抗体在室温下至少稳定一个月,并在-20°C下保持一年以上。当在无菌pH7.4 0.01M PBS或抗体稀释剂中重组时,抗体在2-4°C下至少稳定两周。
产品介绍
这个基因编码细胞色素P450超家族的一个成员。细胞色素P450蛋白是单加氧酶,催化药物代谢和胆固醇、类固醇和其他脂质合成的许多反应。这种蛋白定位于内质网并催化雌激素生物合成的后步骤,即雄激素A环的三个连续羟基化。这种基因的突变可以导致芳香化酶活性的增加或降低;相关的表型表明雌激素同时作为性类固醇激素和生长或分化发挥作用。该基因表达两个转录变体。属于细胞色素P450家族。
功能:
催化C19雄激素形成芳香族C18雌激素。
亚细胞位置:
膜;周围膜蛋白。
组织特异性:
大脑、胎盘和性腺。
疾病:
cyp19a1缺陷是芳香化酶过量综合征(aexs)的原因[mim:139300];也被称为家族性妇科乳腺炎。AEXS的特征是雌激素过量,因为芳香化酶活性增加。
CYP19A1缺陷是芳香化酶缺乏(AROD)的原因[MIM:613546]。AROD是一种罕见的疾病,由于胎盘芳香化酶缺乏,胎儿雄激素不能转化为雌激素。因此,孕妇表现出多毛症,在产后自然消退。出生时,由于外生殖器的男性化,女婴出现假两性畸形。在成年女性中,表现包括青春期延迟、乳腺发育不全和原发性闭经伴多囊卵巢。
相似性:
属于细胞色素P450家族。
重要注意事项:
芳香化酶基因(CYP19)编码的芳香化酶是催化雄激素向雌激素转化的关键酶,CYP19的变异可使芳香化酶活性改变,导致雌激素水平的改变,从而使乳腺癌易感性发生改变,也可能影响到乳腺癌内分泌治疗的敏感性。
目前关于CYP19基因多态性与乳腺癌之间的关系仍存在争论,尚需深入研究以明确芳香化酶的基因多态性在乳腺癌发生中的作用,以及该基因多态性对芳香化酶功能的影响。
本产品仅用于研究用途,不用于人类、治疗或诊断应用。
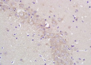
组织/细胞:大鼠脑组织;4%多聚甲醛固定石蜡包埋;
抗原提取:柠檬酸缓冲液(0.01M,pH 6),15min煮沸,用3%过氧化氢阻断内源性过氧化物酶30min;37℃下阻断缓冲液(正常山羊血清)20 min;
孵育:抗-cyp19/cyp19a1多克隆抗体,未结合1:200,在4°C下过夜,然后接合到二级抗体和DAB染色。
公司优势:
1)质量:我司提供的的试剂为世界。
2)价格:价格实惠,量大从优。
4)服务:提供完整的售前、售后和售中服务。售后到底。
如需订购细胞色素P450 19抗体(Aromatase),请联系我们。
| Anti-HLA-E (Human Leukocyte Antigen-E) 人类白细胞抗原E |
| Anti-HMGA1 (high mobility group AT-hook 1) 高迁移率族蛋白A1抗体 |
| Anti-HMGA2 (high mobility group A2) 高迁移率族蛋白A2抗体 |
| Anti-HMGB1 (High Mobility Group Box protein 1) 高迁移率族蛋白-1抗体 |
| Anti-HO-1/HSP32 (Hemeo xygenase 1) 血红素氧合酶-1/热休克蛋白-32抗体 |
| Anti-HO-2 (Heme oxygenase 2) 血红素氧合酶-2抗体 |
| Anti-HOXc8 同源盒基因的一种 |
| Anti-HPV (Human papillomavirus) 人类乳头状瘤病毒抗体 |