英文名称:Anti-phospho-Androgen Receptor (Ser578)
中文名称:磷酸化雄激素受体抗体p-AR (Ser578)
抗体来源:兔
克隆类型:多克隆
交叉反应:人、大鼠、小鼠、鸡、狗、猪、牛、马
产品应用:WB=1:500-2000 ELISA=1:500-1000 IHC-P=1:400-800 IHC-F=1:400-800 Flow-Cyt=3ug/Test IF=1:100-500(石蜡切片需做抗原修复)
尚未在其他应用程序中测试。
用户终应确定合适稀释浓度。
分子量:43/101kDa
细胞定位:细胞核 细胞浆
状态:冻干或液体
浓度:1mg/ml
来源于:KLH conjugated Synthesised phosphopeptide derived from human Androgen Receptor around the phosphorylation site of Ser578:CG(p-S)C
亚型:IgG
纯化方法:affinity purified by Protein A
储存液:0.01M TBS(pH7.4) with 1% BSA, 0.03% Proclin300 and 50% Glycerol.
别 名:AIS; AIS; ANDR_HUMAN; Androgen receptor (dihydrotestosterone receptor; testicular feminization; spinal and bulbar muscular atrophy; Kennedy disease); Androgen receptor; AR; DHTR; Dihydro Testosterone Receptor; Dihydrotestosterone receptor; HUMARA; HYSP1; HYSP1; KD; NR3C4; Nuclear receptor subfamily 3 group C member 4; SBMA; SMAX1; Spinal and bulbar muscular atrophy; TFM.
保存条件:在-20°C下保存一年。避免重复冻融循环。冻干抗体在室温下至少稳定一个月,并在-20°C下保持一年以上。当在无菌pH7.4 0.01M PBS或抗体稀释剂中重组时,抗体在2-4°C下至少稳定两周。
产品介绍
雄激素受体基因的长度超过90kb,编码一种具有3个主要功能域的蛋白质:N端域、DNA结合域和雄激素结合域。该蛋白作为类固醇激素激活转录因子发挥作用。结合激素配体后,受体与辅助蛋白分离,转移到细胞核,二聚体化,然后刺激雄激素反应基因的转录。该基因包含2个多态性三核肽重复片段,编码其蛋白质N端激活域中的聚谷氨酰胺和聚甘氨酸束。聚谷氨酰胺束的扩张导致脊髓延髓肌肉萎缩(*病)。该基因的突变也与*雄激素不敏感(CAIS)有关。描述了两种编码不同亚型的选择性剪接变体。[参考文献编号:2008年7月]
功能:
类固醇激素受体是配体激活的转录因子,调节真核基因表达,影响靶组织细胞增殖和分化。转录因子活性受结合辅活化子和辅加压蛋白的调节。转录激活被NR0B2下调。通过hipk3和zipk/dapk3激活,但不磷酸化。[酶调节]AIM-100(4-氨基-5,6-二芳基-furo[2,3-d]嘧啶)抑制在Tyr-267处TNK2介导的磷酸化。抑制Tyr-267磷酸化形式与雄激素反应增强剂(ARES)的结合及其转录活性。
Subunit:
以同二聚体形式结合DNA。包含ar、efcab6/djbp和park7的三元络合物的一部分。在雄激素存在下与hipk3和nr0b2相互作用。在二氢睾酮存在下,配体结合域与kat7/hbo1相互作用。与efcab6/djbp、pelp1、pqbp1、ranbp9、rbak、spdef、sra1、tgfb1i1、znf318和rreb1相互作用。与zmiz1/zimp10和zmiz2/zmip7相互作用,两者都增强了其交易激活活性。与SLC30A9和RAD54L2/ARIP4相互作用。通过配体结合域与来自ncoa1、ncoa2、ncoa3、ncoa4和magea11的LXXLL和FXXLF基序相互作用。AR N末端的多GLN区结合RAN导致AR介导的激活增强。随着聚乙醛长度的增加,RAN结合降低。与HIP1交互(通过螺旋线圈域)。与trim68相互作用(通过配体结合域)。与TNK2相互作用。与USP26相互作用。与RNF6交互。与RNF14相互作用(可能通过多泛素化被RNF6调节);调节AR转录活性。与prmt2和trim24交互。与GNB2L1/RACK1交互。与ranbp10相互作用;这种相互作用增强了二氢睾酮诱导的AR转录活性。以激素独立的方式与prpf6相互作用;这种相互作用增强了二氢睾酮诱导的AR转录活性。与STK4/MST1交互。与Zipk/Dapk3交互。与lpxn交互。与MAK交互。包含ar、mak和ncoa3的复合体的一部分。
亚细胞位置:
细胞核。细胞质。注=主要为细胞质,无门控形式,但在配体结合时转移到细胞核。也可以在存在Gnb2l1的情况下以非门控形式转移到细胞核。
组织特异性:
亚型2主要在心脏和骨骼肌中表达。
翻译后修改:
在Lys-386(主要)和Lys-520上进行SUM化。泛素化的由USP26去除泛素。通过RNF6的Lys-6'和'Lys-27'连接的多泛素化调节AR转录活性和特异性。
前列腺癌细胞对几种生长因子(包括表皮生长因子)的磷酸化反应。磷酸化由c-SRC激酶(CSK)诱导。Tyr-534是主要的磷酸化位点之一,磷酸化和SRC激酶活性的增加与前列腺癌的进展有关。TNK2的磷酸化增强了DNA结合和转录活性,可能导致前列腺癌的雄激素依赖性进展。CDK9在SER-81处的磷酸化调节AR启动子选择性和细胞生长。PAK6的磷酸化导致AR介导的转录抑制。
棕榈酰化ZDHC7和ZDHC21。棕榈酰化是质膜靶向和快速细胞内信号通过erk和akt激酶和cAMP生成所必需的。
疾病:
AR缺陷是导致雄激素不敏感综合征(ais)的原因[mim:300068];以前被称为睾丸女性化综合征(tfm)。由于末端器官对雄激素的抵抗,ais是一种X连锁隐性假两性畸形。受累男性有女性外生殖器、女性乳房发育、阴道盲、子宫缺失和女性附件,以及腹部或腹股沟睾丸,尽管其核型正常,但其核型为46。
AR缺陷是导致脊髓和延髓肌萎缩的X连锁1型(smax1)【mim:313200】;也称为*病。Smax1是脊髓肌萎缩的X连锁隐性形式。脊髓肌萎缩是指一组以脊髓前角细胞变性为特征的神经肌肉疾病,导致对称性肌无力和萎缩。Smax1只出现在男性身上。发病年龄通常在生命的第三至第五个十年,但有报道称发病较早。以缓慢进行的肢体和延髓肌肉无力为特征,伴有筋膜痉挛、肌肉萎缩和妇科乳腺炎。这种疾病在临床上与典型的常染色体脊髓肌萎缩相似。注=由三核肽CAG重复膨胀引起。在Smax1患者中,GLN的数量在38到62之间。扩张时间越长,发病越早,临床表现越严重。
注=AR缺陷可能在转移性前列腺癌中起作用。突变的受体刺激前列腺生长和转移的发展,尽管雄激素消融术。当肿瘤细胞表达野生型受体时,这种治疗可能通过诱导肿瘤细胞凋亡来减少原发性和转移性损伤。
AR缺陷是导致部分雄激素不敏感综合征(PAIS)的原因[MIM:312300];也被称为Reifenstein综合征。PAIS具有尿道下裂、性腺机能减退、女性乳腺炎、生殖器歧义、正常的xy核型和与X连锁隐性遗传*的谱系模式。部分患者出现无精子症或严重少精子症,无其他临床表现。
相似性:
属于核激素受体家族。NR3亚家族
包含1个核受体DNA结合域。
重要注意事项:
类固醇受体(Steroid Receptors)
AR是一个由920个氨基酸组成的蛋白质,位于雄激素靶组织细胞中或细胞表面上的特异分子部位或结构。
AR在前列腺癌中起着重要的作用,研究表明AR的表达与组织分型形成一定的相关性 ,AR在高分化的肿瘤中表达较多,而在低分化的肿瘤中表达较少。用于前列腺癌的检测,指导临床治疗,目前可用于乳腺癌、食道癌等各项肿瘤的研究。
本产品仅用于研究用途,不用于人类、治疗或诊断应用。
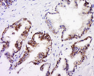
组织/细胞:前列腺组织;4%多聚甲醛固定石蜡包埋;
抗原提取:柠檬酸缓冲液(0.01M,pH 6),15min煮沸,用3%过氧化氢阻断内源性过氧化物酶30min;37℃下阻断缓冲液(正常山羊血清)20 min;
孵育:抗AIS多克隆抗体,未结合1:500,在4°C下过夜,然后接合二级抗体和DAB染色。
公司优势:
1)质量:我司提供的的试剂为世界。
2)价格:价格实惠,量大从优。
4)服务:提供完整的售前、售后和售中服务。售后到底。
如需订购磷酸化雄激素受体抗体p-AR (Ser578),请联系我们。
| anti-HtrA2/Omi(mitochondrial intermembrane space) 丝氨酸蛋白酶/线粒体丝氨酸蛋白酶抗体 |
| Anti-hTRT Telomerase catalytic subunit(TE) 端粒酶抗体(催化亚单位) |
| Anti-Human serumAnti-Human serum 兔抗人血清抗体抗血清 |
| Anti-Hydroxyethyk staYTh/HES Anti-hydroxyethyk staYTh/HES 羟乙基淀粉抗体 |
| Anti-Hypothetical protein (LOC55652) hypothetical protein抗体 |
| anti-IAA(Indole-3-Acetic Acid) 吲哚-3-乙酸抗体/植物生长素抗体 |
| anti-IAA(Indole-3-Acetic Acid) 吲哚-3-乙酸抗体/植物生长素单克隆抗体 |
| anti-IAP-5(inhibitors of apoptosis protein-5) 凋亡抑制因子5抗体 |