您的位置: 网站首页 >> 产品中心 >> >> 抗体 > 雄激素结合蛋白抗体(ABP)
产品名称:

雄激素结合蛋白抗体(ABP)

产品型号: 产品时间: 2023-03-08
性激素结合球蛋白(SHBG)是由肝脏合成的一种糖蛋白。循环中的雄激素和雌激素浓度影响SHBG的合成。例如,睾酮的升高会导致SHBG的合成减少,而雌激素的升高会刺激SHBG的产生。SHBG合成的调节,加上SHBG对睾酮的高亲和力,会影响生物可利用睾酮水平。SHBG结合血液中高达98%的类固醇激素,雄激素结合蛋白抗体(ABP)睾酮和雄烯二醇,具有特别高的亲和力,雌二醇和雌酮的亲和力稍低。

产品概述

英文名称:Anti-ABP​

中文名称:雄激素结合蛋白抗体(ABP)

抗体来源:兔

克隆类型:多克隆

交叉反应:人、大鼠、小鼠​​​​​、狗、牛、兔​​

产品应用:WB=1:500-2000 ELISA=1:500-1000 IHC-P=1:400-800 IHC-F=1:400-800 IF=1:100-500(石蜡切片需做抗原修复)  ​

尚未在其他应用程序中测试。

用户终应确定合适稀释浓度。

分子量:40kDa

细胞定位:分泌型蛋白

状态:冻干或液体

浓度:1mg/ml

来源于:KLH conjugated synthetic peptide derived from human ABP:51-150/402

亚型:IgG

纯化方法:affinity purified by Protein A

储存液:0.01M TBS(pH7.4) with 1% BSA, 0.03% Proclin300 and 50% Glycerol.

​别    名:Androgen binding protein; MGC126834; MGC138391; SBP; Sex steroid binding protein; SHBG; TEBG; Testis specific androgen binding protein; Testosterone binding beta globulin; Testosterone Estradiol Binding Globulin; Testosterone estrogen binding globulin; UniProtKB/Swiss-Prot: P04278.2; SHBG_HUMAN.​

保存条件:在-20°C下保存一年。避免重复冻融循环。冻干抗体在室温下至少稳定一个月,并在-20°C下保持一年以上。当在无菌pH7.4 0.01M PBS或抗体稀释剂中重组时,抗体在2-4°C下至少稳定两周。

产品介绍

性激素结合球蛋白(SHBG)是由肝脏合成的一种糖蛋白。循环中的雄激素和雌激素浓度影响SHBG的合成。例如,睾酮的升高会导致SHBG的合成减少,而雌激素的升高会刺激SHBG的产生。SHBG合成的调节,加上SHBG对睾酮的高亲和力,会影响生物可利用睾酮水平。SHBG结合血液中高达98%的类固醇激素,包括5-二氢睾酮(DHT)、睾酮和雄烯二醇,具有特别高的亲和力,雌二醇和雌酮的亲和力稍低。

 

功能:

作为雄激素转运蛋白发挥作用,但也可能参与受体介导的过程。每个二聚体结合一个类固醇分子。对5-α-二氢睾酮、睾酮和17-β-雌二醇有特异性。通过控制类固醇激素的血浆浓度来调节其血浆代谢清除率。

 

Subunit:

同聚二聚体

 

亚细胞位置:

分泌的(相似的)。注=在睾丸中,由sertoli细胞合成,分泌到生精小管的管腔,并运输到附睾(相似)。

 

组织特异性:

肝和睾丸中存在亚型1和2。

 

相似性:

包含2个层粘连蛋白G样结构域。

 

重要注意事项:

​雄激素结合蛋白ABP是一种由睾丸支持细胞合成和分泌的与雄激素有高度亲和力的蛋白,雄激素是依赖于雄激素结合蛋白起作用的,ABP与睾酮或双氢睾酮结合后,转运至曲细精管,提高雄激素在曲细精管的局部浓度,有利于生精过程。

本产品仅用于研究用途,不用于人类、治疗或诊断应用。

​​​​

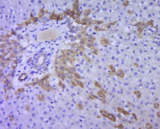
多聚甲醛固定,石蜡包埋(大鼠肝组织);用柠檬酸钠缓冲液(pH6.0)煮沸15min后获得抗原;用3%过氧化氢阻断内源性过氧化物酶20分钟;在37℃下封闭缓冲液(正常山羊血清)30min;抗体(ABP)多克隆抗体在1:400过量下孵育。在4°C下进行光照,然后进行共轭二次20分钟,并进行DAB染色。

公司优势:
1)质量:我司提供的的试剂为世界。
2)价格:价格实惠,量大从优。
4)服务:提供完整的售前、售后和售中服务。售后到底。

如需订购雄激素结合蛋白抗体(ABP)​​,请联系我们。

Anti-IFN-β (Interferon β)Anti-human  干扰素-β抗体(抗人)
Anti-IFN-β (Interferon β)Anti-mouse,rat  干扰素-β抗体(抗大鼠、小鼠)
Anti-IFN-γ(Mouse Anti-Human Interferon γ Monoclonal Antibody)  鼠抗人干扰素-γ/IFN-gamma单克隆抗体
Anti-IFN-γ(Interferon γ)Anti-Human  干扰素-γ抗体(抗人)
Anti-IFN-γ(Interferon γ)Anti-mouse、rat  干扰素-γ抗体 (抗大、小鼠)
Anti-IGC (immunoglobulin delta heavy chain constant region membrane-bound form)  兔抗非洲爪蟾IGC抗体
Anti-IGF-1 R (Insulin-like Growth Factor-I Receptor)  胰岛素样生长因子-I受体抗体
Anti-IGF-1R (Insulin-like Growth Factor-I Receptor)hu、dog、chi、mo、rat  胰岛素样生长因子-I受体抗体

留言框

  • 产品:

  • 您的单位:

  • 您的姓名:

  • 联系电话:

  • 常用邮箱:

  • 省份:

  • 详细地址:

  • 补充说明:

  • 验证码:

    请输入计算结果(填写阿拉伯数字),如:三加四=7
分享到:
版权所有©2019 上海晅科生物科技有限公司 备案号:京ICP证000000号
  • 扫一扫,关注我们