英文名称:Anti-BPTF
中文名称:胎儿阿兹海默病抗原/核小体重塑因子抗体
抗体来源:兔子
克隆类型:多克隆
交叉反应:人、小鼠、大鼠、鸡、狗、牛、兔、羊、豚鼠
产品应用:ELISA=1:500-1000 IHC-P=1:100-500 IHC-F=1:100-500 ICC=1:100-500 IF=1:100-500(石蜡切片需做抗原修复)
分 子 量:338kDa
细胞定位:细胞核 细胞浆
状态:冻干或液体
浓度:1mg/ml
来源于:KLH conjugated synthetic peptide derived from human BPTF/FALZ:2801-3046/3046
亚型:IgG
纯化方法:affinity purified by Protein A
储存液:0.01M TBS(pH7.4) with 1% BSA, 0.03% Proclin300 and 50% Glycerol.
别 名:Bromodomain and PHD finger containing transcription factor; Bromodomain PHD finger transcription factor; FAC 1; BPTF / FALZ; fac1; FALZ; Fetal Alz 50 clone 1 protein; Fetal Alz 50 reactive clone 1; Fetal Alzheimer antigen; Nucleosome remodeling factor; Nucleosome remodeling factor subunit BPTF; Nucleosome remodeling factor, large subunit; NURF 301; NURF301.
保存条件:在-20°C下保存一年。避免反复冻融。冻干抗体在室温下至少稳定一个月,并在-20°C下保持一年以上。当在无菌pH7.4 0.01M PBS或抗体稀释剂中重组时,抗体在2-4°C下至少稳定两周。
产品介绍:
该基因通过编码蛋白对一种单克隆抗体的反应性来鉴定,这种单克隆抗体是针对阿尔茨海默病患者的脑匀浆制备的。对含有DNA结合域和锌指基序的810 a a蛋白(胎儿ALZ-50反应性克隆1,或fac1)的分析表明,它可能在转录调节中起到作用。在胎儿大脑和神经退行性疾病患者中检测到高水平的fac1。这个基因编码的蛋白质实际上比原先想象的要大得多,而且它还含有一个C端溴域,这是蛋白质在增殖过程中调节转录的特征。编码蛋白与果蝇核小体重塑因子复合物的大亚单位高度相似。在果蝇中,nurf复合物催化核小体在DNA上滑动并与序列特异性转录因子相互作用,对于转录所需的染色质重塑是必要的。两种编码不同亚型的选择性转录本已被*描述。[参考文献编号:2008年7月]
功能:
nurf(核小体重塑因子)的组蛋白结合成分,一种催化ATP依赖性核小体滑动并促进染色质转录的复合物。特别是在“lys-4”(h3k4me3)上识别*基化的h3尾,这标记了几乎所有活性基因的转录起始位点。也可以通过与DNA或转录因子直接结合来调节转录。
子单元:
与MAZ相互作用。与KEAP1交互。核小体重塑因子(nurf)复合体的一部分,由smarca1、bptf、rbbp4和rbbp7组成。与组蛋白H3K4me3相互作用,与组蛋白H3-K4me2的作用较小。
亚细胞位置:
细胞质。原子核。注=在阿尔茨海默病患者的大脑中,出现在含有淀粉样蛋白的斑块的一个子集中。
组织特异性:
广泛表达,睾丸中。存在于肾脏、肝脏和大脑中。在大脑中,运动皮层的(在蛋白质水平)。
翻译后修改:
磷酸化增强DNA结合。磷酸化的DNA损伤,可能由ATM或ATR。
极易发生蛋白水解。
相似性:
属于PBTF家族。
包含1个溴域。
包含1个DDT域。
包含2个博士型锌指。
重要提示:
本产品仅用于研究用途,不用于人类、治疗或诊断应用
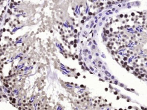
多聚甲醛固定,石蜡包埋(小鼠睾丸);经柠檬酸钠缓冲液(pH6.0)煮沸15min后获得抗原;用3%过氧化氢阻断内源性过氧化物酶20分钟;阻断缓冲液(正常山羊血清)37℃30min;用(BPTF)多克隆抗体进行抗体孵育在4°C下1:200整晚未结合的全身,然后根据SP试剂盒(兔子)说明和DAB染色进行操作。
公司优势:
1)质量:我司提供的的试剂为世界。
2)价格:价格实惠,量大从优。
4)服务:提供完整的售前、售后和售中服务。售后到底。
如需订购胎儿阿兹海默病抗原/核小体重塑因子抗体,请联系我们。
| Anti-CD272/BTLA(B and T lymphocyte attenuator) B和T淋巴细胞衰减蛋白抗体 |
| Anti-CD2AP (CD2-associated protein) 白细胞分化抗原CD2AP抗体 |
| Anti-CD3 CD3抗体 |
| Anti-CD3(Mouse Anti-Human CD3 Monoclonal Antibody) 鼠抗人CD3单克隆抗体 |
| Anti-CD31(PECAM-1) 血小板内皮细胞黏附分子-1抗体 |
| Anti-CD31(PECAM-1) 血小板内皮细胞黏附分子-1抗体 |
| Anti-CD34 CD34抗体(细胞表面的唾液粘蛋白) |