您的位置: 网站首页 >> 产品中心 >> >> 抗体 > 磷酸化酪氨酸蛋白激酶BTK抗体
产品名称:

磷酸化酪氨酸蛋白激酶BTK抗体

产品型号: 产品时间: 2023-03-08
磷酸化酪氨酸蛋白激酶BTK抗体是胞质酪氨酸激酶btk/tec家族的成员。与其他btk家族成员一样,它包含一个Pleckstrin同源(ph)域、src同源sh3和sh2域。BTK在B细胞发育中起着重要作用。各种配体激活B细胞,伴随着BTK膜易位,由其与磷脂酰肌醇-3,4,5-三磷酸结合的ph域介导。位于BTK的膜是活性的,与两个酪氨酸残基(tyr551和tyr223)的瞬时磷酸化有关。

产品概述

英文名称:Anti-Phospho-BTK (Tyr223)​

中文名称:磷酸化酪氨酸蛋白激酶BTK抗体

抗体来源:兔子

克隆类型:多克隆

交叉反应:人、小鼠、大鼠、猪、牛、马、兔​

产品应用:ELISA=1:500-1000 IHC-P=1:100-500 IHC-F=1:100-500 Flow-Cyt=1ug/test ICC=1:100-500 IF=1:100-500(石蜡切片需做抗原修复)

分  子 量:76kDa

​细胞定位:细胞核 细胞浆 细胞膜

状态:冻干或液体

浓度:1mg/ml

来源于:KLH conjugated Synthesised phosphopeptide derived from human Btk around the phosphorylation site of Tyr223:AL(p-Y)DY

亚型:IgG

纯化方法:affinity purified by Protein A

储存液:0.01M TBS(pH7.4) with 1% BSA, 0.03% Proclin300 and 50% Glycerol.

别    名:BTK (phospho Y223); p-BTK (phospho Y223); Agammaglobulinaemia tyrosine kinase; AGMX 1; AGMX1; AT; ATK; B cell progenitor kinase; B-cell progenitor kinase; BPK; Bruton agammaglobulinemia tyrosine kinase; Bruton tyrosine kinase; Bruton’s Tyrosine Kinase; Btk; BTK_HUMAN; IMD 1; IMD1; MGC126261; MGC126262; OTTHUMP00000063593; PSCTK 1; PSCTK1; Tyrosine protein kinase BTK; Tyrosine-protein kinase BTK; XLA.

保存条件:在-20°C下保存一年。避免反复冻融。冻干抗体在室温下至少稳定一个月,并在-20°C下保持一年以上。当在无菌pH7.4 0.01M PBS或抗体稀释剂中重组时,抗体在2-4°C下至少稳定两周。

 

​产品介绍:

Brutons tyrosine kinase (BTK)是胞质酪氨酸激酶btk/tec家族的成员。与其他btk家族成员一样,它包含一个Pleckstrin同源(ph)域、src同源sh3和sh2域。BTK在B细胞发育中起着重要作用。各种配体激活B细胞,伴随着BTK膜易位,由其与磷脂酰肌醇-3,4,5-三磷酸结合的ph域介导。位于BTK的膜是活性的,与两个酪氨酸残基(tyr551和tyr223)的瞬时磷酸化有关。活化环中的tyr551被SRC家族酪氨酸激酶转磷酸化,导致SH3结构域中tyr223处的自磷酸化,这是*活化所必需的。btk的激活被pkcβ通过在Ser180处btk的磷酸化负调节,从而导致膜募集、转磷酸化和随后的激活减少。pkc/btk抑制信号可能是B细胞受体信号阈值维持btk活性的关键决定因素。

 

功能:

非受体酪氨酸激酶对B淋巴细胞的发育、分化和信号传导*。抗原与B细胞抗原受体(BCR)的结合触发信号,终导致B细胞活化。BCR参与并激活质膜后,在多个部位磷酸化PLCG2,通过钙活化激活下游信号通路,随后激活蛋白激酶C(PKC)家族成员。PLCG2磷酸化是在与适配器蛋白B细胞连接蛋白BLNK密切合作的情况下进行的。btk作为一个平台将多种信号蛋白聚集在一起,并与细胞因子受体信号通路有关。作为Toll样受体(TLR)通路的一个组成部分,在先天免疫和适应性免疫的免疫细胞功能中起着重要作用。TLR途径是检测病原体的主要监测系统,对激活宿主防御至关重要。尤其是,它是调节脾脏B细胞TLR9激活的关键分子。在TLR途径中,诱导tirap的酪氨酸磷酸化,导致tirap降解。BTK在转录调控中也起着关键作用。诱导参与调控数百个基因表达的NF-kappa-b活性。BTK参与了TLR8和TLR9与NF-kappa-b的信号通路,短暂磷酸化酪氨酸残基上的转录因子GTF2I对BCR的反应。GTF2I然后转移到细胞核,结合调节增强因子来调节基因表达。ARID3A和NFAT是BTK的其他转录靶点。BTK是形成功能性ARID3A DNA结合复合物所必需的。然而,没有证据表明btk本身与DNA直接结合。BTK在细胞凋亡调控中具有双重作用。

 

子单元:

通过ph域结合GTF2I。通过sh3域与sh3bp5交互。通过其ph域与IBTK相互作用。与ARID3A、CAV1、FASLG、PIN1、TLR8和TLR9相互作用。

 

亚细胞位置:

细胞质。细胞膜;外周膜蛋白。原子核。注=在稳定状态下,btk主要是细胞溶质。在B细胞受体(BCR)被抗原接合后,通过其ph域转运到质膜。质膜定位是激活BTK的关键步骤。一部分btk也在细胞核和细胞质之间穿梭,核输出由核输出受体crm1介导。

 

组织特异性:

主要在B淋巴细胞中表达。

 

 

翻译后修改:

B细胞受体(BCR)结合后,转移到质膜,在那里由lyn和syk在tyr-551处磷酸化。在Tyr-551处的磷酸化之后是Tyr-223的自磷酸化,这可能为含有SH2的蛋白质创建一个对接位点。prkcb在ser-180处的磷酸化导致btk重新转移到细胞质部分。ser-21和ser-115的磷酸化为这些ser-pro基序的pin1创造了一个结合位点,并促进了它的招募。

 

疾病:

btk缺陷是X-连锁无丙种球蛋白血症(xla)的原因[mim:300755];也称为X-连锁无丙种球蛋白血症1型(agmx1)或免疫缺陷1型(imd1)。XLA是一种引起B细胞成熟途径发育缺陷的体液性免疫缺陷病。受影响的男孩骨髓中的前B细胞水平正常,但实际上没有循环的成熟B淋巴细胞。这会导致所有种类的免疫球蛋白缺乏,导致在生命初几年反复出现细菌感染,如中耳炎、结膜炎、皮炎、鼻窦炎,甚至一些患者出现严重的败血症或脑膜炎,导致数小时内死亡。大多数情况下,通过静脉注射免疫球蛋白进行治疗。

btk缺陷可能是X连锁低丙种球蛋白血症和孤立生长激素缺乏症(XLA-IGHD)的原因[MIM:307200];也被称为无丙种球蛋白血症和孤立生长激素缺乏症或弗莱舍综合征或孤立生长激素缺乏3型(IGHD3)。在极少数情况下,XLA与孤立生长激素缺乏症(IGHD)一起遗传。

 

相似性:

属于蛋白激酶超家族。Tyr蛋白激酶家族。TEC子家族。

包含1个BTK型锌指。

包含1个ph域。

包含1个蛋白激酶域。

包含1个SH2域。

包含1个SH3域。

 

重要提示:

本产品仅用于研究用途,不用于人类、治疗或诊断应用

​​​​​​

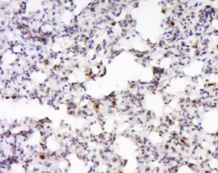
组织/细胞:人肺癌;4%多聚甲醛固定石蜡包埋;

抗原提取:柠檬酸缓冲液(0.01M,pH 6),15min煮沸,用3%过氧化氢阻断内源性过氧化物酶30min;37℃下阻断缓冲液(正常山羊血清)20 min;

孵育:抗磷酸btk(tyr223)多克隆抗体,未结合1:200,在4°C下过夜,然后接合到二级抗体和DAB染色。

 

公司优势:
1)质量:我司提供的的试剂为世界。
2)价格:价格实惠,量大从优。
4)服务:提供完整的售前、售后和售中服务。售后到底。

如需订购磷酸化酪氨酸蛋白激酶BTK抗体​​​​​​​​​​​,请联系我们。

Anti-CD8(Rabbit Anti-Human Mouse rat CD8 Palyclonal Antibody)  CD8抗体
Anti-CD86/B7-2  CD86抗体
Anti-CDK1 (Cyclin-Dependent Kinase 1)  周期素依赖性激酶1抗体
Anti-CDK2 (Cyclin-Dependent Kinase 2)  周期素依赖性激酶2抗体
Anti-CDK4 (cyclin-dependent kinase 4)  周期素依赖性激酶4抗体

留言框

  • 产品:

  • 您的单位:

  • 您的姓名:

  • 联系电话:

  • 常用邮箱:

  • 省份:

  • 详细地址:

  • 补充说明:

  • 验证码:

    请输入计算结果(填写阿拉伯数字),如:三加四=7
分享到:
版权所有©2019 上海晅科生物科技有限公司 备案号:京ICP证000000号
  • 扫一扫,关注我们