您的位置: 网站首页 >> 产品中心 >> >> 抗体 > 微管蛋白β tubulin/Tubulin β单克隆抗体
产品名称:

微管蛋白β tubulin/Tubulin β单克隆抗体

产品型号: 产品时间: 2023-03-08
微管蛋白β tubulin/Tubulin β单克隆抗体这个基因编码一种β-微管蛋白。这种蛋白与α微管蛋白形成二聚体,并作为微管的结构成分。该基因突变导致皮质发育不良,复杂,伴有其他脑畸形6。选择性剪接导致多个剪接变体。在染色体1、6、7、8、9和13上有多个假基因。

产品概述

英文名称:Anti-Beta tubulin(Loading Control)​

中文名称:微管蛋白β tubulin/Tubulin β单克隆抗体

抗体来源:小鼠

克隆类型:单克隆

交叉反应:人、小鼠、大鼠、鸡、狗、猪、牛、兔、羊、豚鼠、猴、昆虫、酵母

产品应用:WB=1:1000-5000 ELISA=1:5000-10000 IHC-P=1:100-500 IHC-F=1:100-500 ICC=1:100-500 IF=1:200-500(石蜡切片需做抗原修复)

分  子 量:55kDa

​细胞定位:细胞浆

状态:冻干或液体

浓度:1mg/ml

来源于:KLH conjugated synthetic peptide derived from human Beta tubulin:

亚型:IgG

纯化方法:affinity purified by Protein A

储存液:0.01M TBS(pH7.4) with 1% BSA, 0.03% Proclin300 and 50% Glycerol.

别    名:Beta 4 tubulin; Beta 5 tubulin; beta Ib tubulin; Beta1 tubulin; Class I beta tubulin; M40; MGC117247; MGC16435; OK/SW cl.56; OK/SWcl.56; TBB5_HUMAN; TUBB 1; TUBB 2; TUBB 5; TUBB; TUBB1; TUBB2; TUBB5; tubulin beta 1 chain; Tubulin beta 2 chain; tubulin beta 5 chain; Tubulin beta chain; Tubulin beta class I; tubulin beta polypeptide; Tubulin beta-5 chain.

保存条件:在-20°C下保存一年。避免反复冻融。冻干抗体在室温下至少稳定一个月,并在-20°C下保持一年以上。当在无菌pH7.4 0.01M PBS或抗体稀释剂中重组时,抗体在2-4°C下至少稳定两周。

 

​产品介绍:

这个基因编码一种β-微管蛋白。这种蛋白与α微管蛋白形成二聚体,并作为微管的结构成分。该基因突变导致皮质发育不良,复杂,伴有其他脑畸形6。选择性剪接导致多个剪接变体。在染色体1、6、7、8、9和13上有多个假基因。【参考文献2014年6月提供】

 

功能:

微管蛋白是微管的主要成分。它结合两摩尔的GTP,一个在β链上的可交换位点,一个在α链上的不可交换位点。

 

子单元:

二聚体或α和β链。可与RNabp10相互作用。与PIFO交互。与MX1交互。

 

亚细胞位置:

细胞质,细胞骨架。

 

组织特异性:

广泛表达于脾脏、胸腺和未成熟大脑中。

 

翻译后修改:

C端的一些谷氨酸残基发生了聚谷氨酸化。这种修饰只发生在谷氨酸残基上,并在γ-羧基上形成聚谷氨酸链。由于在人体内缺乏功能性TTLL10,因此也进行了单糖基化而不是多糖基化。单糖基化主要限于与轴突(纤毛和鞭毛)结合的微管蛋白,而谷氨酸基化在神经元细胞、中心粒、轴突和有丝分裂纺锤体中普遍存在。两种修饰都可以在相邻残基上的同一蛋白质上共存,并且降低糖基化水平会增加多谷氨酸化,并相互作用。这种修饰的精确功能尚不清楚,但它们调节轴突微管的装配和动力学(可能)。

 

相似之处:

属于微管蛋白家族。

 

重要提示:

本产品仅用于研究用途,不用于人类、治疗或诊断应用

​​​​​​​​​​​

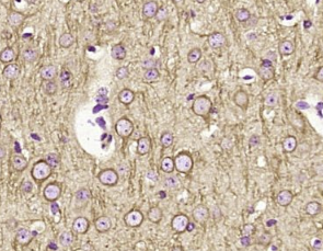
多聚甲醛固定,石蜡包埋(小鼠脑);用柠檬酸钠缓冲液(pH6.0)煮沸15min后获得抗原;用3%过氧化氢阻断内源过氧化物酶20分钟;阻断缓冲液(正常山羊血清)37℃30min;用β-微管蛋白单克隆抗体进行抗体孵育未结合的单克隆抗体在1:400在4°C下过夜,然后根据SP试剂盒(小鼠)说明和DAB染色进行操作。

 

公司优势:
1)质量:我司提供的的试剂为世界。
2)价格:价格实惠,量大从优。
4)服务:提供完整的售前、售后和售中服务。售后到底。

如需订购微管蛋白β tubulin/Tubulin β单克隆抗体​,请联系我们。

Anti-CK2(casein kinase 2)  酪氨酸激酶2抗体
Anti-CK4 (Cytokeratin 4)  细胞角蛋白4抗体
Anti-CK5 (Cytokeratin 5)  细胞角蛋白5抗体
Anti-CK8(Cytokeratin 8)  细胞角蛋白8抗体
anti-CKLFSF2(human)(chemokine-like factor superfamily 2)  人类新细胞因子/趋化素样因子超家族成员2抗体

留言框

  • 产品:

  • 您的单位:

  • 您的姓名:

  • 联系电话:

  • 常用邮箱:

  • 省份:

  • 详细地址:

  • 补充说明:

  • 验证码:

    请输入计算结果(填写阿拉伯数字),如:三加四=7
分享到:
版权所有©2019 上海晅科生物科技有限公司 备案号:京ICP证000000号
  • 扫一扫,关注我们