您的位置: 网站首页 >> 产品中心 >> >> 抗体 > BRD1蛋白抗体
产品名称:

BRD1蛋白抗体

产品型号: 产品时间: 2023-03-08
BRD1蛋白抗体应用:WB=1:500-2000 ELISA=1:500-1000 IHC-P=1:100-500 IHC-F=1:100-500 IF=1:50-200

产品概述

英文名称:Anti-BRD1​

中文名称:BRD1蛋白抗体

抗体来源:兔子

克隆类型:多克隆

交叉反应:人、小鼠、大鼠、鸡、狗、牛、马、兔子​

产品应用:WB=1:500-2000 ELISA=1:500-1000 IHC-P=1:100-500 IHC-F=1:100-500 IF=1:50-200 (石蜡切片需做抗原修复)

分  子 量:119kDa

​细胞定位:细胞核

状态:冻干或液体

浓度:1mg/ml

来源于:KLH conjugated synthetic peptide derived from human BRD1:701-800/1058

亚型:IgG

纯化方法:affinity purified by Protein A

储存液:0.01M TBS(pH7.4) with 1% BSA, 0.03% Proclin300 and 50% Glycerol.

别    名:BR140-like protein; BRD1; BRD1_HUMAN; BRL; Bromodomain and PHD finger-containing protein 2; Bromodomain-containing protein 1; BRPF1; BRPF2.

保存条件:在-20°C下保存一年。避免反复冻融。冻干抗体在室温下至少稳定一个月,并在-20°C下保持一年以上。当在无菌pH7.4 0.01M PBS或抗体稀释剂中重组时,抗体在2-4°C下至少稳定两周。

 

​产品介绍:

具有组蛋白H3乙酰转移酶活性的Moz/MORF复合物的成分。

 

子单元:

moz/morf复合体的组成部分,至少由ing5、kat6a、kat6b、meaf6和brpf1、brd1/brpf2和brpf3中的一个组成。

 

亚细胞位置:

原子核。

 

组织特异性:

在睾丸中高度表达。

 

相似性:

包含1个溴域。

包含1个PhD型锌指。

包含1个pwp域。

 

重要提示:

本产品仅用于研究用途,不用于人类、治疗或诊断应用

​​​

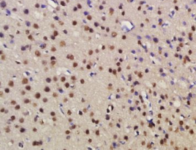
组织/细胞:大鼠脑组织;4%多聚甲醛固定石蜡包埋;

抗原提取:柠檬酸缓冲液(0.01M,pH 6),15min煮沸,用3%过氧化氢阻断内源性过氧化物酶30min;37℃下阻断缓冲液(正常山羊血清)20 min;

孵育:抗BRD1多克隆抗体,未结合1:200,4°C下过夜,然后与二级抗体结合,DAB染色。

 

公司优势:
1)质量:我司提供的的试剂为世界。
2)价格:价格实惠,量大从优。
4)服务:提供完整的售前、售后和售中服务。售后到底。

如需订购BRD1蛋白抗体​,请联系我们。

Anti-CXC-R3/CD183 (Chemokine receptoYT-X-C chemokine receptor type 3)  细胞表面趋化因子受体3抗体
anti-cx3cl1(chemokine (C-X3-C motif) ligand 1)  趋化因子(C-X3-C 基元)配体1抗体
Anti-CXorf36 (uncharacterized protein Cxorf36 precursor)  脱羧酶蛋白体3抗体
Anti-CXorf36 (uncharacterized protein Cxorf36 precursor)  脱羧酶蛋白体36抗体

留言框

  • 产品:

  • 您的单位:

  • 您的姓名:

  • 联系电话:

  • 常用邮箱:

  • 省份:

  • 详细地址:

  • 补充说明:

  • 验证码:

    请输入计算结果(填写阿拉伯数字),如:三加四=7
分享到:
版权所有©2019 上海晅科生物科技有限公司 备案号:京ICP证000000号
  • 扫一扫,关注我们