英文名称:Anti-ADRB3
中文名称:ADRB3抗体
抗体来源:兔子
克隆类型:多克隆
交叉反应:人、小鼠、大鼠、狗、猪、羊
产品应用:WB=1:500-2000 ELISA=1:500-1000 IHC-P=1:100-500 IHC-F=1:100-500 IF=1:100-500(石蜡切片需做抗原修复)
分 子 量:44kDa
细胞定位:细胞膜
状态:冻干或液体
浓度:1mg/ml
来源于:KLH conjugated synthetic peptide derived from human ADRB3:310-408/408 <Cytoplasmic>
亚型:IgG
纯化方法:affinity purified by Protein A
储存液:0.01M TBS(pH7.4) with 1% BSA, 0.03% Proclin300 and 50% Glycerol.
别 名:beta 3 Adrenergic Receptor; beta3-adrenergic receptor; beta3-AR; adrenergic; beta-3- receptor; ADR B3; ADRB 3; ADRB3R; Adrenergic beta 3 receptor; B3AR; Beta 3 adrenoceptor; Beta 3 adrenoreceptor; Beta 3AR; B3AR; BETA3AR; ADRB3_HUMAN.
保存条件:在-20°C下保存一年。避免反复冻融。冻干抗体在室温下至少稳定一个月,并在-20°C下保持一年以上。当在无菌pH7.4 0.01M PBS或抗体稀释剂中重组时,抗体在2-4°C下至少稳定两周。
产品介绍:
β3肾上腺素能受体主要位于脂肪组织中,参与脂肪分解和热生成的调节。β肾上腺素能受体通过G蛋白的作用参与肾上腺素和去甲肾上腺素诱导的腺苷酸环化酶的激活。β3肾上腺素能受体的表达在脂肪组织、心脏和消化道和泌尿道器官(膀胱、结肠、小肠、胃、输尿管)的平滑肌中都有记录。利用替代启动子和/或3个主要的未翻译区域可能导致组织特异性调节这种蛋白的表达。
功能:
β肾上腺素能受体通过G蛋白的作用介导儿茶酚胺诱导的腺苷酸环化酶的激活。β-3参与脂肪分解和热生成的调节。
亚细胞位置:
细胞膜;多道膜蛋白。
组织特异性:
主要在脂肪组织中表达。
相似性:
属于G蛋白偶联受体1家族。肾上腺素能受体亚家族。ADRB3亚家族。
重要提示:
本产品仅用于研究用途,不用于人类、治疗或诊断应用
ARβ3是新近发现的,继β1和β2之后的第3个β型肾上腺素受体亚型.分子量:44KDa(404AA)
近年来研究表明:β3-肾上腺素受体该受体基因突变或基因多态性与机体肥胖及心血管疾病相关;心力衰竭时该受体的含量明显增加,β3肾上腺素能受体与心血管疾病的相关研究可能为心血管疾病的预测、防治的新方法.
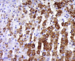
组织/细胞:大鼠肾上腺;4%多聚甲醛固定石蜡包埋;
抗原提取:柠檬酸缓冲液(0.01M,pH 6),15min煮沸,用3%过氧化氢阻断内源性过氧化物酶30min;37℃下阻断缓冲液(正常山羊血清)20 min;
孵育:抗ADRB3多克隆抗体,未结合1:500,4°C下过夜,然后与二级抗体结合,DAB染色。
公司优势:
1)质量:我司提供的的试剂为世界。
2)价格:价格实惠,量大从优。
4)服务:提供完整的售前、售后和售中服务。售后到底。
如需订购ADRB3抗体,请联系我们。
| Anti-FLIPS (Flice-like Inhibitory Protein S) 凋亡调节基因之一抗体(短型) |
| Anti-FN (Fibronectin) 纤维连结蛋白抗体 |
| Anti-FOSB FosB抗体 |
| Anti-FOSL1 (FOS-like antigen-1) FOSL1抗体 |
| Anti-FOSL2 (FOS-like antigen-2) FOSL2抗体 |
| anti-FoxP1(Forkhead box P1) FoxP1(T细胞转录因子)抗体 |
| Anti-FoxP3 叉头蛋白3-T细胞转录因子 |