英文名称:Anti-BRCC4
中文名称:乳腺癌易感基因复合蛋白4抗体(BRCC4)
抗体来源:兔子
克隆类型:多克隆
交叉反应:人,小鼠,老鼠,鸡,狗,马,兔子,羊
产品应用:WB=1:500-2000 ELISA=1:500-1000 IHC-P=1:100-500 IHC-F=1:100-500 IF=1:100-500(石蜡切片需做抗原修复)
分 子 量:47kDa
细胞定位:细胞核 细胞浆
状态:冻干或液体
浓度:1mg/ml
来源于:KLH conjugated synthetic peptide derived from human BRCC4/BRCC45:301-383/383
亚型:IgG
纯化方法:affinity purified by Protein A
储存液:0.01M TBS(pH7.4) with 1% BSA, 0.03% Proclin300 and 50% Glycerol.
别 名:Brain and reproductive organ expressed (TNFRSF1A modulator); BRCA1/BRCA2 containing complex subunit 4; BRCA1/BRCA2 containing complex subunit 45; BRCC4; BRCC45; BRE_HUMAN.
保存条件:在-20°C下保存一年。避免反复冻融。冻干抗体在室温下至少稳定一个月,并在-20°C下保持一年以上。当在无菌pH7.4 0.01M PBS或抗体稀释剂中重组时,抗体在2-4°C下至少稳定两周。
产品介绍:
BRCC45初被认为是一种在大脑和生殖器官中高度表达的家政蛋白质。后来的实验表明BRCC45与乳腺和卵巢易感蛋白BRCA1和BRCA2以及RAD51和BRCC36形成复合物。这种复合物具有泛素E3连接酶活性,被认为可以提高DNA损伤后的细胞存活率。BRCC45还被认为通过抑制bid诱导的线粒体凋亡途径的激活而发挥死亡受体相关的抗凋亡蛋白的作用。在大多数肝细胞癌中检测到较高水平的BRCC45,这表明BRCC45在过度表达时可能促进肿瘤发生。已知至少有三种BRCC45亚型存在。
功能:
BRCA1-A复合物的组成部分,一种在DNA损伤部位特异识别“Lys-63”连接的泛素化组蛋白H2a和H2ax的复合物,导致将BRCA1-Bard1异二聚体靶向双链断裂处的DNA损伤部位(DSB)。BRCA1-A复合物还具有脱泛素酶活性,该活性特别去除组蛋白H2a和H2ax上的“Lys-63”连接的泛素。在brca1-a复合体中,它充当连接babam1/nba1与复合体其余部分之间的相互作用的适配器,因此需要复杂的完整性并调节brca1-bard1异二聚体的e3泛素连接酶活性。可能也作为BRISC复合物的一个组成部分发挥作用,BRISC复合物是一种多蛋白复合物,专门分解“Lys-63”连接的泛素。可能在神经细胞、上皮细胞和种系起源的细胞内平衡或细胞分化中起作用。也可作为死亡受体相关的抗凋亡蛋白,抑制线粒体凋亡途径。可能通过与TNFRSF1a的相互作用调节TNFα信号传导,但这些效应可能是间接的。
子单元:
BRCA1-A复合体的组成部分,至少由BRCA1、BARD1、UIMC1/RAP80、FAM175A/ABRAXAS、BRCC3/BRCC36、BRE/BRCC45和BABAM1/NBA1组成。在BRCA1-A复合体中,直接与FAM175A/Abraxas、BRCC3/BRCC36和BABAM1/NBA1相互作用。结合多泛素。BRIC复合体的组成部分,至少由FAM175B/ABRO1、BRCC3/BRCC36、BRE/BRCC45和BABAM1/NBA1组成。BRCA1/BRCA2的组成部分,包含复合物(BRCC),也包含BRCA1、BRCA2、BARD1、BRCC3/BRCC36和RAD51。BRCC是一种泛素E3连接酶复合物,可提高DNA损伤后的细胞存活率。可能与FAS和TNFRSF1A相互作用。
亚细胞位置:
细胞质。原子核。注=在双链断裂(DSB)时定位于DNA损伤部位。
组织特异性:
在所有检测的细胞系中表达。在胎盘中高度表达。
相似性:
属于BRE家族。
重要提示:
本产品仅用于研究用途,不用于人类、治疗或诊断应用
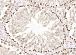
多聚甲醛固定,石蜡包埋(大鼠睾丸);用柠檬酸钠缓冲液(pH6.0)煮沸15min后获得抗原;用3%过氧化氢阻断内源性过氧化物酶20分钟;阻断缓冲液(正常山羊血清)37℃30min;用BRC4多克隆抗体进行抗体孵育Tibody,未结合,1:200,4°C下过夜,然后根据SP试剂盒(兔子)说明和DAB染色进行操作。
公司优势:
1)质量:我司提供的的试剂为世界。
2)价格:价格实惠,量大从优。
4)服务:提供完整的售前、售后和售中服务。售后到底。
如需订购乳腺癌易感基因复合蛋白4抗体(BRCC4),请联系我们。
| Anti-HCV-NS3 丙型肝炎病毒-NS3抗体 |
| Anti-HCV-NS4a 丙型肝炎病毒-NS4a抗体 |
| Anti-HDL-R(High Density Lipoprotein Receptor) 高密度脂蛋白受体抗体 |
| Anti-Heamachrome 血红素抗体 |
| Anti-HEV 戊型肝炎病毒抗体 |
| Anti-HGF(hepatocyte growth factor) 肝细胞生长因子抗体 |