您的位置: 网站首页 >> 产品中心 >> >> 抗体 > BMP内皮细胞调节蛋白抗体(BMPER)
产品名称:

BMP内皮细胞调节蛋白抗体(BMPER)

产品型号: 产品时间: 2023-03-08
BMP内皮细胞调节蛋白抗体(BMPER)该基因编码一种与骨形态发生蛋白(BMP)相互作用并抑制其功能的分泌蛋白。已经证明它能抑制BMP2-和BMP4依赖性成骨细胞的分化和BMP依赖性软骨细胞的分化。这种基因的突变与致命的骨骼疾病,即骨干发育不全有关。[由RefSeq提供,2011年12月]。

产品概述

英文名称:Anti-BMPER​

中文名称:BMP内皮细胞调节蛋白抗体(BMPER)

抗体来源:兔子

克隆类型:多克隆

交叉反应:人、小鼠、大鼠、狗、猪、牛、兔子​​

产品应用:WB=1:500-2000 ELISA=1:500-1000 IHC-P=1:100-500 IHC-F=1:100-500 IF=1:100-500(石蜡切片需做抗原修复)

分  子 量:72kDa

​细胞定位:分泌型蛋白

状态:冻干或液体

浓度:1mg/ml

来源于:KLH conjugated synthetic peptide derived from human BMPER:501-600/686

亚型:IgG

纯化方法:affinity purified by Protein A

储存液:0.01M TBS(pH7.4) with 1% BSA, 0.03% Proclin300 and 50% Glycerol.

别    名:BMP binding endothelial regulator; BMP binding endothelial regulator precursor protein; Bone morphogenetic protein binding endothelial cell precursor derived regulator; CRIM3; Crossveinless 2; CV 2; CV2; hCV2; Protein crossveinless 2; BMPER_HUMAN.

保存条件:在-20°C下保存一年。避免反复冻融。冻干抗体在室温下至少稳定一个月,并在-20°C下保持一年以上。当在无菌pH7.4 0.01M PBS或抗体稀释剂中重组时,抗体在2-4°C下至少稳定两周。

 

​产品介绍:

该基因编码一种与骨形态发生蛋白(BMP)相互作用并抑制其功能的分泌蛋白。已经证明它能抑制BMP2-和BMP4依赖性成骨细胞的分化和BMP依赖性软骨细胞的分化。这种基因的突变与致命的骨骼疾病,即骨干发育不全有关。[由RefSeq提供,2011年12月]。

bmper是一种由内皮细胞前体表达的BMP结合蛋白,具有BMP拮抗活性,通过调节局部BMP活性在内皮细胞分化中发挥作用。它也可以调节成骨细胞和软骨细胞的BMP反应。

 

子单元:

与BMP4相互作用。

 

亚细胞位置:

秘密的。

 

组织特异性:

在肺、脑和初级软骨细胞中高度表达。

 

相似性:

包含1个til(胰蛋白酶抑制样)结构域。包含5个vwfc域。包含1个vwfd域。

 

重要提示:

本产品仅用于研究用途,不用于人类、治疗或诊断应用

​​​

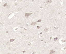
多聚甲醛固定,石蜡包埋(小鼠脑组织);用柠檬酸钠缓冲液(pH6.0)煮沸15min后获得抗原;用3%过氧化氢阻断内源性过氧化物酶20分钟;阻断缓冲液(正常山羊血清)在37℃下30min;用BMPER聚合酶进行抗体孵育。未结合的克隆抗体在1:400下在4°C下过夜,然后根据SP试剂盒(兔子)说明和DAB染色进行操作。

公司优势:
1)质量:我司提供的的试剂为世界。
2)价格:价格实惠,量大从优。
4)服务:提供完整的售前、售后和售中服务。售后到底。

如需订购BMP内皮细胞调节蛋白抗体(BMPER)​​,请联系我们。

anti-DYKDDDDK Tag (NT)/Flag-Tag polyclonal antibody  抗标签DYKDDDDK Tag抗体(N端)
anti-DYKDDDDK Tag (CT)/Flag-Tag polyclonal antibody  抗标签DYKDDDDK Tag抗体(C端)
Anti-HIV gp120  艾滋病病毒抗体
Anti-HIV gp41  艾滋病病毒抗体
Anti-HIV-1(human immunodeficiency virus type 1)  艾滋病病毒-1/人类免疫缺陷病毒1型抗体
Anti-HIV-1(human immunodeficiency virus type 1)Anti-Anti-Anti-Anti-HIV-1(human immunodeficiency virus type 1)  艾滋病病毒-1/人类免疫缺陷病毒1型抗体

留言框

  • 产品:

  • 您的单位:

  • 您的姓名:

  • 联系电话:

  • 常用邮箱:

  • 省份:

  • 详细地址:

  • 补充说明:

  • 验证码:

    请输入计算结果(填写阿拉伯数字),如:三加四=7
分享到:
版权所有©2019 上海晅科生物科技有限公司 备案号:京ICP证000000号
  • 扫一扫,关注我们