您的位置: 网站首页 >> 产品中心 >> >> 抗体 > 磷酸化Bcl-10抗体
产品名称:

磷酸化Bcl-10抗体

产品型号: 产品时间: 2023-03-08
磷酸化Bcl-10抗体在许多人和小鼠组织中表达。它包含一个卡(caspase招募域)域,参与caspase9的激活以诱导凋亡。是马疱疹病毒2e-10的细胞同系物。已知可诱导JNK、p38和NF-kappab的活化。在许多B细胞和T细胞淋巴瘤中观察到bcl10突变,表明其在人类癌症发病机制中的作用。

产品概述

英文名称:Anti-phospho-Bcl 10 (Ser218)​

中文名称:磷酸化Bcl-10抗体

抗体来源:兔子

克隆类型:多克隆

交叉反应:人、小鼠、大鼠

产品应用:WB=1:500-2000 ELISA=1:500-1000 IHC-P=1:100-500 IHC-F=1:100-500 IF=1:100-500(石蜡切片需做抗原修复)

分  子 量:26kDa

​细胞定位:细胞浆 细胞膜

状态:冻干或液体

浓度:1mg/ml

来源于:KLH conjugated Synthesised phosphopeptide derived from rat Bcl10 around the phosphorylation site of Ser218:GN(p-S)SE

亚型:IgG

纯化方法:affinity purified by Protein A

储存液:0.01M TBS(pH7.4) with 1% BSA, 0.03% Proclin300 and 50% Glycerol.

别    名:B cell lymphoma/leukemia10; AI132454; B cell CLL/lymphoma 10; B-cell leukemia/lymphoma 10; Bcl 10; Bcl-10; Bcl10; c E10; c-E10; C81403; CARD containing apoptotic signaling protein; CARD containing molecule enhancing NF kappa B; CARD containing molecule enhancing NF kB; CARD containing molecule enhancing NFkB; CARD containing proapoptotic protein; CARD like apoptotic protein; CARMEN; cE10 antibody; CED 3/ICH 1 prodomain homologous E10 like regulator; CED3/ICH1 prodomain homologous E10 like regulator; Cellular E10; Cellular homolog of vCARMEN; CIPER; CLAP; hCLAP; Mammalian CARD containing adapter molecule E10; mE 10; mE10; R-RCD1; BCL10_RAT .

保存条件:在-20°C下保存一年。避免反复冻融。冻干抗体在室温下至少稳定一个月,并在-20°C下保持一年以上。当在无菌pH7.4 0.01M PBS或抗体稀释剂中重组时,抗体在2-4°C下至少稳定两周。

 

​产品介绍:

在许多人和小鼠组织中表达。它包含一个卡(caspase招募域)域,参与caspase9的激活以诱导凋亡。是马疱疹病毒2e-10的细胞同系物。已知可诱导JNK、p38和NF-kappab的活化。在许多B细胞和T细胞淋巴瘤中观察到bcl10突变,表明其在人类癌症发病机制中的作用。

 

功能:

通过NIK和IKK促进凋亡、半胱天冬酶-9成熟和NF-kappa-b活化。可能是上游tnfr1-tradd-rip复合体和下游nik-ikk-ikap复合体之间的一种结合蛋白。是麦芽1的基质。

 

子单元:

发现于膜筏复合体中,至少由bcl10、card11、dpp4和ikbkb组成。通过卡片互动的自我联想,与麦芽糖1形成紧密的复合体。与其他卡片蛋白如card9、card10、card11和card14相互作用。将caspase-9与其C端域结合。与trav2和birc2/c-iap2交互。与peli2和socs3相互作用;这些相互作用可能是互斥的(通过相似性)。

 

亚细胞位置:

细胞质,核周区。膜筏。注=似乎具有核周、致密和丝状表达模式。也发现于几种肿瘤细胞的细胞核中。与DPP4在膜筏中共存。

 

组织特异性:

无处不在的。

 

翻译后修改:

磷酸化。磷酸化导致traffi2的离解并结合到birc2/c-iap2。由ikbkb/ikkb磷酸化。

 

疾病:

注:涉及bcl10的染色体畸变在低度粘膜相关淋巴组织(malt淋巴瘤)中复发。易位t(1;14)(p22;q32)。虽然bcl10/igh易位使bcl10的编码区保持完整,但频繁的bcl10突变可归因于ig体细胞过度突变机制,导致核苷酸转换。

注=bcl10缺陷与各种类型的癌症有关。

间皮瘤,恶性(间皮瘤)【mim:156240】:胸部浆膜衬里的侵袭性肿瘤。它表现为广泛的细胞片,一些区域含有梭形、肉瘤样细胞,其他区域显示腺瘤样。胸膜间皮瘤与接触石棉有关。注=此条目中所代表的基因可能与疾病发病机制有关。

 

相似性:

包含1个CARD域。

 

重要提示:

本产品仅用于研究用途,不用于人类、治疗或诊断应用

​​​​

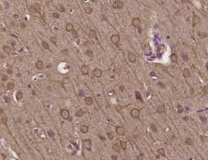
多聚甲醛固定,石蜡包埋(大鼠脑);用柠檬酸钠缓冲液(pH6.0)煮沸15min;用3%过氧化氢阻断内源过氧化物酶20分钟;阻断缓冲液(正常山羊血清)37℃30min;用磷酸化Bcl 10(Se21)进行抗体孵育8))多克隆抗体,未结合,1:400,4°C下过夜,然后根据SP试剂盒(兔子)说明和DAB染色进行操作。

公司优势:
1)质量:我司提供的的试剂为世界。
2)价格:价格实惠,量大从优。
4)服务:提供完整的售前、售后和售中服务。售后到底。

如需订购磷酸化Bcl-10抗体​​​,请联系我们。

Anti-N-AChR α7 (Nicotinic-Acetylcholine receptor α7)  烟碱型乙酰胆碱受体α7抗体
Anti-Nanog  胚胎干细胞关键蛋白抗体
anti-Natrexone  抗纳曲酮抗体IgG
Anti-NAP1 (nucleosome assembly protein 1)  核小体组装蛋白1抗体
Anti-N-cadherin  N-钙粘附分子抗体

留言框

  • 产品:

  • 您的单位:

  • 您的姓名:

  • 联系电话:

  • 常用邮箱:

  • 省份:

  • 详细地址:

  • 补充说明:

  • 验证码:

    请输入计算结果(填写阿拉伯数字),如:三加四=7
分享到:
版权所有©2019 上海晅科生物科技有限公司 备案号:京ICP证000000号
  • 扫一扫,关注我们