您的位置: 网站首页 >> 产品中心 >> >> 抗体 > 骨/软骨蛋白多糖1抗体(Biglycan)
产品名称:

骨/软骨蛋白多糖1抗体(Biglycan)

产品型号: 产品时间: 2023-03-08
骨/软骨蛋白多糖1抗体(Biglycan)应用:WB=1:500-2000 ELISA=1:500-1000 IHC-P=1:100-500 IHC-F=1:100-500 IF=1:100-500

产品概述

英文名称:Anti-Biglycan​

中文名称:骨/软骨蛋白多糖1抗体(Biglycan)

抗体来源:兔子

克隆类型:多克隆

交叉反应:人、小鼠、大鼠、狗、猪、牛、马、兔、羊​

产品应用:WB=1:500-2000 ELISA=1:500-1000 IHC-P=1:100-500 IHC-F=1:100-500 IF=1:100-500 (石蜡切片需做抗原修复)

分  子 量:37kDa

​细胞定位:细胞外基质 分泌型蛋白

状态:冻干或液体

浓度:1mg/ml

来源于:KLH conjugated synthetic peptide derived from human Biglycan:101-200/368

亚型:IgG

纯化方法:affinity purified by Protein A

储存液:0.01M TBS(pH7.4) with 1% BSA, 0.03% Proclin300 and 50% Glycerol.

别    名:BGN; Biglycan; Biglycan proteoglycan; Bone/cartilage proteoglycan I; Dermatan sulphate proteoglycan I; DSPG1; PG S1; PG-S1; PGI; PGS1_HUMAN; SLRR1A; Small leucine rich protein 1A.

保存条件:在-20°C下保存一年。避免反复冻融。冻干抗体在室温下至少稳定一个月,并在-20°C下保持一年以上。当在无菌pH7.4 0.01M PBS或抗体稀释剂中重组时,抗体在2-4°C下至少稳定两周。

 

​产品介绍:

可能参与胶原纤维的组装。

组织特异性;见于几个结缔组织,特别是关节软骨。

 

功能:

可能参与胶原纤维的组装(通过相似性)。

 

子单元:

同二聚体。与mfap2和eln形成三元络合物

 

亚细胞位置:

分泌的,细胞外空间,细胞外。

 

组织特异性:

发现于多个结缔组织,特别是关节软骨。

 

翻译后修改:

两条附加的糖胺聚糖链可以是硫酸软骨素或硫酸皮肤素(相似)。

 

相似性:

属于富含亮氨酸的小蛋白聚糖家族。SLRP一级亚科。包含12个LRR(富含亮氨酸)重复。

 

重要提示:

本产品仅用于研究用途,不用于人类、治疗或诊断应用

​​

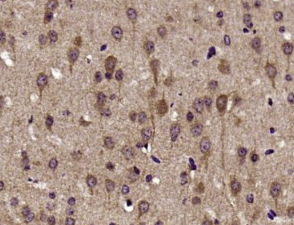
多聚甲醛固定,石蜡包埋(小鼠脑);经柠檬酸钠缓冲液(pH6.0)煮沸15min后获得抗原;用3%过氧化氢阻断内源过氧化物酶20分钟;阻断缓冲液(正常山羊血清)37℃30min;用(双聚糖)多克隆抗体进行抗体孵育L抗体,未结合,1:400,4°C下过夜,然后根据SP试剂盒(兔子)说明和DAB染色进行操作。

 

公司优势:
1)质量:我司提供的的试剂为世界。
2)价格:价格实惠,量大从优。
4)服务:提供完整的售前、售后和售中服务。售后到底。

如需订购骨/软骨蛋白多糖1抗体(Biglycan)​​​​​,请联系我们。

anti-CTn1 (cardiac troponin 1)  心肌肌钙蛋白抗体
Anti-CT-R(Calcitonin receptor)  降钙素受体抗体
Anti-CULLIN/Cdc53/CUL/SCFCdc4  CULLIN抗体
Anti-Cx40 (Connexin-40)  间隙连接蛋白40抗体
Anti-Cx43 (Connexin-43)  间隙连接蛋白43抗体
Anti-CX45 (Connexin-45)  间隙连接蛋白45抗体
Anti-CXC-R1 (CXC-chemokine receptor 1)  细胞表面趋化因子受体1抗体

留言框

  • 产品:

  • 您的单位:

  • 您的姓名:

  • 联系电话:

  • 常用邮箱:

  • 省份:

  • 详细地址:

  • 补充说明:

  • 验证码:

    请输入计算结果(填写阿拉伯数字),如:三加四=7
分享到:
版权所有©2019 上海晅科生物科技有限公司 备案号:京ICP证000000号
  • 扫一扫,关注我们