您的位置: 网站首页 >> 产品中心 >> >> 抗体 > 磷酸化活化复制因子2抗体p-AKT2(S322)
产品名称:

磷酸化活化复制因子2抗体p-AKT2(S322)

产品型号: 产品时间: 2023-03-08
ATF2是碱性区亮氨酸拉链DNA结合蛋白ATF/CREB家族的成员,通过结合多种病毒和细胞基因启动子中的*cAMP反应元件(CRE)来调节转录。其中许多基因在细胞生长和分化以及应激和免疫反应中都很重要。ATF2是一种以二聚体形式结合DNA的核蛋白,可以与ATF/CREB和JUN/FOS家族成员形成二聚体。作为带有Cjun的异二聚体,它是比作为同磷酸化活化复制因子2抗体p-AKT2(S322)

产品概述

英文名称:Anti-phospho-ATF2 (Ser322)​

中文名称:磷酸化活化复制因子2抗体p-AKT2(S322)

抗体来源:兔

克隆类型:多克隆

交叉反应:人、大鼠、小鼠、牛、马、兔​

产品应用:WB=1:500-2000 ELISA=1:500-1000 IHC-P=1:400-800 IHC-F=1:400-800 IF=1:100-500(石蜡切片需做抗原修复)

尚未在其他应用程序中测试。

用户终应确定合适稀释浓度。

分子量:55kDa

细胞定位:细胞核

状态:冻干或液体

浓度:1mg/ml

来源于:KLH conjugated Synthesised phosphopeptide derived from mouse ATF2 around the phosphorylation site of Ser322:NT(p-S)GR

亚型:IgG

纯化方法:affinity purified by Protein A

储存液:0.01M TBS(pH7.4) with 1% BSA, 0.03% Proclin300 and 50% Glycerol.

​别    名:ATF2 (phospho Ser322); ATF2 (phospho S322); p-ATF2 (S322); p-ATF2 (Ser322); CREB 2; HB 16;Activating Transcription Factor 2; ATF 2; Atf-2; ATF2 protein; cAMP Response Element Binding Protein 2; cAMP response element binding protein CRE BP1; cAMP-dependent transcription factor ATF-2; cAMP-responsive element-binding protein 2; CRE BP1; CRE-BP; CREB 2; CREB2; CREBP1; Cyclic AMP dependent transcription factor ATF 2; Cyclic AMP-responsive; ATF2_MOUSE.

保存条件:在-20°C下保存一年。避免重复冻融循环。冻干抗体在室温下至少稳定一个月,并在-20°C下保持一年以上。当在无菌pH7.4 0.01M PBS或抗体稀释剂中重组时,抗体在2-4°C下至少稳定两周。

产品介绍

ATF2是碱性区亮氨酸拉链DNA结合蛋白ATF/CREB家族的成员,通过结合多种病毒和细胞基因启动子中的*cAMP反应元件(CRE)来调节转录。其中许多基因在细胞生长和分化以及应激和免疫反应中都很重要。ATF2是一种以二聚体形式结合DNA的核蛋白,可以与ATF/CREB和JUN/FOS家族成员形成二聚体。作为带有Cjun的异二聚体,它是比作为同二聚体更强的活化剂。ATF2的几种亚型由差异剪接产生。稳定的天然全长ATF2由于其羧基末端DNA结合域与氨基末端转录激活域的抑制性直接分子内相互作用而无转录活性。在二聚化之后,ATF2成为一种短暂的蛋白质,经过泛素化和蛋白水解,似乎在蛋白磷酸酶依赖机制中。在几种基因毒性因子、炎性细胞因子和紫外线照射诱导的细胞应激后,ATF2的转录活性受到刺激。这种激活需要JNK/SAP激酶和p38 MAP激酶磷酸化ATF2中的两个苏氨酸残基。ATF2在大脑中大量表达。

 

功能:

转录激活剂,可能是组成性的,与cAMP反应元件(cre)结合(共识:5’-gtgacgt[ac][ag]-3’),一个存在于许多病毒和细胞启动子中的序列。与jun的相互作用使jun优先与作为ATF2/jun复合物一部分的12-O-十四酰磷-13-乙酸盐响应元件(tres)结合。

 

Subunit:

以二聚体形式结合DNA,并在没有DNA的情况下形成同二聚体。能与Jun形成异二聚体,与Smad3和Smad4相互作用。通过其N末端区域与作为ATF2转录活性辅激活因子的UTF1结合。

 

亚细胞位置:

细胞核。

 

组织特异性:

大脑中大量表达。

 

翻译后修改:

通过MAPK14和MAPK11磷酸化THR-69,通过MAPK1/ERK2、MAPK3/ERK1、MAPK11、MAPK12和MAPK14磷酸化THR-71,以响应胰岛素等外部刺激,导致转录活性增加。在高渗胁迫后被PLK3磷酸化。也被JNK和CAMK4磷酸化和激活。

 

相似性:

属于bzip家族。ATF亚家族

包含1个bzip域。

包含1个C2H2型锌指。

 

重要注意事项:

本产品仅用于研究用途,不用于人类、治疗或诊断应用。

​​

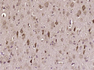
多聚甲醛固定,石蜡包埋(大鼠脑);经柠檬酸钠缓冲液(pH6.0)煮沸15min后获得抗原;用3%过氧化氢阻断内源性过氧化物酶20分钟;阻断缓冲液(正常山羊血清)在37℃下30min;用(磷酸-ATF2(Ser322))多克隆抗体进行抗体孵育。在4°C下1:500过夜,然后用共轭二次进行20分钟的DAB染色。

公司优势:
1)质量:我司提供的的试剂为世界。
2)价格:价格实惠,量大从优。
4)服务:提供完整的售前、售后和售中服务。售后到底。

如需订购磷酸化活化复制因子2抗体p-AKT2(S322)​​,请联系我们。

Anti-K-ras  原癌基因K-ras抗体
Anti-Laminin alpha5  层粘蛋白α5抗体
Anti-L-Citrulline (Rabbit Anti-L-Citrulline)  抗L-瓜氨酸抗体
Anti-LDL-R (Low-density lipoprotein receptor precursor)  低密度脂蛋白受体抗体
Anti-Leptin  瘦素抗体
Anti-Leptin  瘦素抗体
Anti-Leptin receptor  瘦素受体抗体
Anti-Leptin receptor(long)  瘦素受体抗体(长)
Anti-Leptin receptor(long)  瘦素受体抗体(长)

留言框

  • 产品:

  • 您的单位:

  • 您的姓名:

  • 联系电话:

  • 常用邮箱:

  • 省份:

  • 详细地址:

  • 补充说明:

  • 验证码:

    请输入计算结果(填写阿拉伯数字),如:三加四=7
分享到:
版权所有©2019 上海晅科生物科技有限公司 备案号:京ICP证000000号
  • 扫一扫,关注我们