英文名称:Anti-AQP1
中文名称:水通道蛋白1抗体(AQP1)
抗体来源:兔
克隆类型:多克隆
交叉反应:人、大鼠、小鼠、狗,猪,牛,马,羊
产品应用:WB=1:500-2000 ELISA=1:500-1000 IHC-P=1:400-800 IHC-F=1:400-800 Flow-Cyt=1µg/Test IF=1:100-500(石蜡切片需做抗原修复) 
尚未在其他应用程序中测试。
用户终应确定合适稀释浓度。
分子量:28kDa
细胞定位:细胞膜
状态:冻干或液体
浓度:1mg/ml
来源于:KLH conjugated synthetic peptide derived from human AQP1:181-269/269 <Cytoplasmic>
亚型:IgG
纯化方法:affinity purified by Protein A
储存液:0.01M TBS(pH7.4) with 1% BSA, 0.03% Proclin300 and 50% Glycerol.
别 名:AQP 1; AQP-1; AQP1_HUMAN; Aquaporin-1; Aquaporin-CHIP; Channel like integral membrane protein 28 kDa; MGC26324; Water channel protein CHIP 29; AQP CHIP; AQP1; Aquaporin CHIP; Aquaporin1; Aquaporin 1; Channel forming integral protein 28kDa; CHIP 28; CHIP28; CO; Colton blood group; Growth factor induced delayed early response protein; Urine water channel; Water channel protein CHIP29; Water channel protein for red blood cells and kidney proximal tubule. 
保存条件:在-20°C下保存一年。避免重复冻融循环。冻干抗体在室温下至少稳定一个月,并在-20°C下保持一年以上。当在无菌pH7.4 0.01M PBS或抗体稀释剂中重组时,抗体在2-4°C下至少稳定两周。
产品介绍
水通道蛋白1是一种28kd的完整膜蛋白,初在红细胞和肾近端小管中被鉴定出来。aqp1也由脉络丛和其他各种组织表达。它形成一个水特异性通道,为红细胞和肾近端小管的质膜提供高透水性,从而允许水向渗透梯度方向移动。
功能:
形成一个水特异性通道,为红细胞和肾近端小管的质膜提供对水的高渗透性,从而允许水沿渗透梯度的方向移动。
Subunit:
Homotetramer。与ephb2相互作用;参与内耳内淋巴生成(通过相似性)。
亚细胞位置:
膜;多通道膜蛋白。
组织特异性:
在许多组织中表达,包括红细胞、肾小管、视网膜色素上皮、心脏、肺、骨骼肌、肾脏和胰腺。在脑、胎盘和肝脏中弱表达。
相似性:
属于mip/aquaporin(tc 1.a.8)家族。
重要注意事项:
本产品仅用于研究用途,不用于人类、治疗或诊断应用。
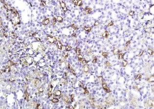
组织/细胞:大鼠肾组织;4%多聚甲醛固定石蜡包埋;
抗原提取:柠檬酸缓冲液(0.01M,pH 6),15min煮沸,用3%过氧化氢阻断内源性过氧化物酶30min;37℃下阻断缓冲液(正常山羊血清)20 min;
孵育:抗AQP-1多克隆抗体,未结合1:400,在4°C下过夜,然后与二级抗体结合,DAB染色。
公司优势:
1)质量:我司提供的的试剂为世界。
2)价格:价格实惠,量大从优。
4)服务:提供完整的售前、售后和售中服务。售后到底。
如需订购水通道蛋白1抗体(AQP1),请联系我们。
| Anti-IASPP(inhibitory member of the ASPP family) 肿瘤细胞凋亡ASPP家族的另一个成员抗体 | 
| Anti-ICAD(Inhibitor of Caspase-Activated Dnase ) Caspase 激活的脱氧核糖核酸酶抑制剂 | 
| Anti-IDE(Insulin degradation enzyme) 胰岛素降解酶抗体 | 
| Mouse Anti-influenza A virus nucleoprotein Monoclonal(Flu-A) 鼠抗人禽流感A核蛋白单克隆抗体 | 
| Mouse Anti-influenza B virus nucleoprotein Monoclonal(Flu-B) 鼠抗人禽流感B核蛋白单克隆抗体 | 
| Anti-IFABP(Intestinal Fatty acid binding protein) 小肠型脂肪酸结合蛋白抗体 | 
| Anti-IFITM1 (interferon induced transmembrane protein 1) 干扰素诱导跨膜蛋白1抗体 |