您的位置: 网站首页 >> 产品中心 >> >> 抗体 > 活化的Notch1蛋白抗体(Activated Notch1)
产品名称:

活化的Notch1蛋白抗体(Activated Notch1)

产品型号: 产品时间: 2023-03-08
活化的Notch1蛋白抗体(Activated Notch1)这个基因编码Notch家族的一个成员。1型跨膜蛋白家族成员具有结构特征,包括由多个表皮生长因子样(egf)重复序列组成的细胞外结构域和由多个不同结构域类型组成的细胞内结构域。Notch家族成员通过控制细胞命运决定在各种发育过程中发挥作用。Notch信号网络是一种进化保守的细胞间信号通路,它调节着物理相邻细胞之间的相互作用。

产品概述

英文名称:Anti-Activated Notch1

中文名称:活化的Notch1蛋白抗体(Activated Notch1)

抗体来源:兔

克隆类型:多克隆

交叉反应:人、大鼠、小鼠、狗、猪、牛、兔、豚鼠​​

产品应用:WB=1:500-2000 ELISA=1:500-1000 IHC-P=1:400-800 IHC-F=1:400-800 ICC=1:100-500 IF=1:100-500(石蜡切片需做抗原修复)

尚未在其他应用程序中测试。

用户终应确定合适稀释浓度。

分子量:89/271kDa

细胞定位:细胞核

状态:冻干或液体

浓度:1mg/ml

来源于:KLH conjugated synthetic peptide derived from human N-terminal sequence of the cleaved Notch1 intracellular domain:1754-1800/2555 <Cytoplasmic>

亚型:IgG

纯化方法:affinity purified by Protein A

储存液:0.01M TBS(pH7.4) with 1% BSA, 0.03% Proclin300 and 50% Glycerol.

​别    名:Activated-notch1; Activated-notch 1; Activated notch 1; hN1; Neurogenic locus Notch homolog protein 1; activated Notch 1; activated Notch-1; Notch homolog 1 translocation associated (Drosophila); NOTCH1; TAN1; Translocation-associated Notch protein TAN-1; NOTC1_HUMAN.  ​

保存条件:在-20°C下保存一年。避免重复冻融循环。冻干抗体在室温下至少稳定一个月,并在-20°C下保持一年以上。当在无菌pH7.4 0.01M PBS或抗体稀释剂中重组时,抗体在2-4°C下至少稳定两周。

产品介绍

这个基因编码Notch家族的一个成员。1型跨膜蛋白家族成员具有结构特征,包括由多个表皮生长因子样(egf)重复序列组成的细胞外结构域和由多个不同结构域类型组成的细胞内结构域。Notch家族成员通过控制细胞命运决定在各种发育过程中发挥作用。Notch信号网络是一种进化保守的细胞间信号通路,它调节着物理相邻细胞之间的相互作用。在果蝇中,notch与细胞结合配体(delta,serate)的相互作用建立了一个细胞间信号通路,在发育过程中起着关键作用。缺口配体的同系物也已在人类中被鉴定出来,但这些配体与人类缺口同系物之间的精确相互作用仍有待确定。这种蛋白在跨高尔基体网络中被切割,并作为异二聚体出现在细胞表面。这种蛋白作为膜结合配体的受体,在发育过程中可能发挥多种作用。[由RefSeq提供,2008年7月]。

 

功能:

Notch家族成员通过控制细胞命运决定在各种发育过程中发挥作用。Notch信号网络是一种进化保守的细胞间信号通路,它调节着物理相邻细胞之间的相互作用。这种蛋白质在跨高尔基体网络中被切割,并以异二聚体的形式出现在细胞表面。这种蛋白作为膜结合配体的受体发挥作用。一旦notch胞外结构域与配体相互作用,一种叫做tace(肿瘤坏死因子α转换酶)的蛋白酶就会在膜外分裂notch蛋白。这释放Notch的细胞外部分,继续与配体相互作用。配体加上Notch胞外结构域被表达配体的细胞内吞。在*次分裂之后,一种叫做gamma分泌酶的酶就在细胞膜内小叶内分裂缺口蛋白的剩余部分。这释放了Notch蛋白的细胞内部分,然后该部分移动到细胞核,并导致各种基因的表达。Notch信号级联的细胞内部分还涉及许多其他蛋白质

 

重要注意事项:

本产品仅用于研究用途,不用于人类、治疗或诊断应用。

​​​​​​​​​

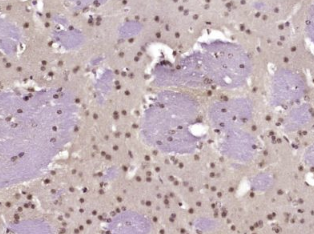
多聚甲醛固定,石蜡包埋(小鼠脑);用柠檬酸钠缓冲液(pH6.0)煮沸15min后获得抗原;用3%过氧化氢阻断内源过氧化物酶20分钟;阻断缓冲液(正常山羊血清)在37℃下30min;抗体(未激活的Notch1)多克隆抗体在1处孵育:400在4°C下过夜,然后根据SP试剂盒(兔子)说明和DAB染色进行操作。

公司优势:
1)质量:我司提供的的试剂为世界。
2)价格:价格实惠,量大从优。
4)服务:提供完整的售前、售后和售中服务。售后到底。

如需订购活化的Notch1蛋白抗体(Activated Notch1)​​​​​​​​​​​​​​,请联系我们。

Anti-NFKBp65(p65 NF-kappa B;p65NFKB)  细胞核因子/k基因结合核因子抗体
Anti-NF-L(Neurofilament triplet L)  低分子量神经丝蛋白抗体
Anti-NF-M (Neurofilament triplet M)  中分子量神经丝蛋白抗体
Anti-NF-κBp50(p50 NF-kappa B;p50NFKB)  细胞核因子50/κ基因结合核因子50抗体
Anti-NGF-R/p75NTR/CD271(p75 Neurotrophin R)  神经生长因子受体抗体
Anti-NGF-β  神经生长因子-β抗体
anti-NGN3(neurogenin 3; Neurog3)  神经元素3抗体

留言框

  • 产品:

  • 您的单位:

  • 您的姓名:

  • 联系电话:

  • 常用邮箱:

  • 省份:

  • 详细地址:

  • 补充说明:

  • 验证码:

    请输入计算结果(填写阿拉伯数字),如:三加四=7
分享到:
版权所有©2019 上海晅科生物科技有限公司 备案号:京ICP证000000号
  • 扫一扫,关注我们