英文名称:Anti-beta Tubulin
中文名称:微管蛋白抗体(β-Tubulin)
抗体来源:兔子
克隆类型:多克隆
交叉反应:人、小鼠、大鼠、猪、牛
产品应用:ELISA=1:500-1000 IHC-P=1:100-500 IHC-F=1:100-500 Flow-Cyt=1μg/Test IF=1:100-500(石蜡切片需做抗原修复)
分 子 量:50kDa
细胞定位:细胞浆
状态:冻干或液体
浓度:1mg/ml
来源于:KLH conjugated synthetic peptide derived from human Tubulin-beta:1-50/444
亚型:IgG
纯化方法:affinity purified by Protein A
储存液:0.01M TBS(pH7.4) with 1% BSA, 0.03% Proclin300 and 50% Glycerol.
别 名:Beta 4 tubulin; Tubulin-beta; Tubulin beta; Beta 5 tubulin; BetaTubulin; Beta-Tubulin; dJ40E16.7; TUBB; TUBB2; TUBB2A; TUBB5; tubulin beta 2A; Tubulin beta chain; Tubulin beta-5 chain; TUBB4A; TUBB4; Tubulin 5 beta; Tubulin beta-4 chain; TBB4A_HUMAN; Tubulin beta-4A chain.
保存条件:在-20°C下保存一年。避免反复冻融。冻干抗体在室温下至少稳定一个月,并在-20°C下保持一年以上。当在无菌pH7.4 0.01M PBS或抗体稀释剂中重组时,抗体在2-4°C下至少稳定两周。
产品介绍:
微管是有丝分裂器、纤毛、鞭毛和细胞骨架的组成部分。主要由2种可溶蛋白组成,α-和β-微管蛋白,每种约55000 kDa。抗β-微管蛋白抗体可作为蛋白质印迹的负载控制。然而,应该注意的是,在某些细胞中,β-微管蛋白的水平可能不稳定。例如,脂肪组织中微管蛋白的表达非常低(Spiegelman and Farmer,Cell,1982,29(1):53-60),因此β微管蛋白不应用作这些组织的负荷控制。
功能:
微管蛋白是微管的主要成分。结合两摩尔的GTP,一个在β链上的可交换位点,一个在α链上的不可交换位点。
子单元:
α链和β链的二聚体。可与RNabp10相互作用。与PIFO交互。与MX1交互。
亚细胞位置:
细胞质,细胞骨架。
组织特异性:
广泛表达于脾脏、胸腺和未成熟大脑中。
翻译后修改:
C端的一些谷氨酸残基是聚谷氨酸化的。这种修饰只发生在谷氨酸残基上,并在γ羧基上形成聚谷氨酸链。由于在人体内缺乏功能性TTLL10,因此也进行了单糖基化而不是多糖基化。单糖基化主要局限于微管蛋白与轴突(纤毛和鞭毛)结合,而谷氨酸基化则普遍存在于神经元细胞、中心粒、轴突和有丝分裂纺锤体中。两种修饰都可以在相邻残基上的同一蛋白质上共存,并且降低糖基化水平会增加多谷氨酸化,并相互作用。这种修饰的精确功能尚不清楚,但它们调节轴突微管的装配和动力学。
相似性:
属于微管蛋白家族。
重要提示:
本产品仅用于研究用途,不用于人类、治疗或诊断应用
结构蛋白(Structural Proteins)
tubulin是一种大量存在于哺乳动物脑组织中的微管亚基蛋白,在结构上是由两个极为相近的α和β亚基组成的二聚体、多聚体形成微管细丝,是微管的主要成分。
微管蛋白是球形分子, 有两种类型:α微管蛋白(α-tubulin)货号:bs-0195R和β微管蛋白(β-tubulin), 这两种微管蛋白具有相似的三维结构, 能够紧密地结合成二聚体, 作为微管组装的亚基。
α亚基由450个氨基酸组成, β亚基是由455个氨基酸组成, 这两种亚基有35~40%的氨基酸序列同源, 表明编码它们的基因可能是由同一原始祖先演变而来。
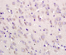
组织/细胞:大鼠脑组织;4%多聚甲醛固定石蜡包埋;
抗原提取:柠檬酸缓冲液(0.01M,pH 6),15min煮沸,用3%过氧化氢阻断内源性过氧化物酶30min;37℃下阻断缓冲液(正常山羊血清)20 min;
孵育:抗微管蛋白β多克隆抗体,未结合1:200,在4°C下过夜,然后与二级抗体结合,DAB染色。
公司优势:
1)质量:我司提供的的试剂为世界。
2)价格:价格实惠,量大从优。
4)服务:提供完整的售前、售后和售中服务。售后到底。
如需订购微管蛋白抗体(β-Tubulin),请联系我们。
| Anti-MICA(MHC class I polypeptide-related sequence A) 一种细胞应激分子抗体 |
| Anti-Midnolin isoform Protein 1 中脑核仁蛋白1抗体 |
| Anti-Midnolin isoform Protein 2 中脑核仁蛋白2抗体 |
| Anti-MIF (Macrophage Migration Inhibitory Factor) 巨噬细胞移动抑制因子抗体 |
| Anti-MIP-1α (macrophage inflammatory protein 1α) 巨噬细胞炎症因子1α抗体 |
| Anti-MIP-1β (macrophage inflammatory protein 1β) 巨噬细胞炎症因子1β 抗体 |