您的位置: 网站首页 >> 产品中心 >> >> 抗体 > 脑富含膜附着信号蛋白1抗体(BASP1)
产品名称:

脑富含膜附着信号蛋白1抗体(BASP1)

产品型号: 产品时间: 2023-03-08
神经元轴突膜蛋白nap-22,又称神经元组织富酸性蛋白或脑酸溶性蛋白(basp1),脑富含膜附着信号蛋白1抗体(BASP1)是一种Ca2+依赖性钙调蛋白结合蛋白,对神经元的萌发和可塑性起重要作用。nap-22在脑神经末梢中含量丰富,在肾脏、睾丸和淋巴组织中也大量存在。NAP-22进行N端肉豆蔻酰化,进行膜定位。它被认为是神经元筏的主要蛋白质,已知其优先结合含有胆固醇的膜。

产品概述

英文名称:Anti-BASP1​

中文名称:脑富含膜附着信号蛋白1抗体(BASP1)

抗体来源:兔子

克隆类型:多克隆

交叉反应:人、小鼠、大鼠、鸡、狗、猪、牛、马、兔​

产品应用:WB=1:500-2000 ELISA=1:500-1000 IHC-P=1:100-500 IHC-F=1:100-500 ICC=1:100-500 IF=1:100-500(石蜡切片需做抗原修复)

分  子 量:25kDa

​细胞定位:细胞膜

状态:冻干或液体

浓度:1mg/ml

来源于:KLH conjugated synthetic peptide derived from human BASP1/Nap22:3-100/227

亚型:IgG

纯化方法:affinity purified by Protein A

储存液:0.01M TBS(pH7.4) with 1% BSA, 0.03% Proclin300 and 50% Glycerol.

别    名:BASP 1; BASP-1; BASP1 protein; Brain abundant membrane attached signal protein 1; Brain Abundant Signal Protein Membrane Attached 1; Brain Acid Soluble Protein 1; CAP 23; CAP23; MGC8555; NAP 22; NAP-22; NAP22; Neuronal axonal membrane protein NAP 22; Neuronal tissue enriched acidic protein; 22 kDa neuronal tissue enriched acidic protein; BASP1_HUMAN.

保存条件:在-20°C下保存一年。避免反复冻融。冻干抗体在室温下至少稳定一个月,并在-20°C下保持一年以上。当在无菌pH7.4 0.01M PBS或抗体稀释剂中重组时,抗体在2-4°C下至少稳定两周。

 

​产品介绍:

神经元轴突膜蛋白nap-22,又称神经元组织富酸性蛋白或脑酸溶性蛋白(basp1),是一种Ca2+依赖性钙调蛋白结合蛋白,对神经元的萌发和可塑性起重要作用。nap-22在脑神经末梢中含量丰富,在肾脏、睾丸和淋巴组织中也大量存在。NAP-22进行N端肉豆蔻酰化,进行膜定位。它被认为是神经元筏的主要蛋白质,已知其优先结合含有胆固醇的膜。nap-22是一种重要的蛋白质,在神经突生长和突触可塑性中起重要作用。

 

功能:

basp1是一种富含脑细胞膜结合蛋白,具有几个短暂的磷酸化位点和害虫基序。basp1结合钙调蛋白,被蛋白激酶C磷酸化,并经历N端肉豆蔻酰化。basp1在神经组织中特异性表达。细胞间信号传导和神经生长受神经末梢和其中一个是BASP1的突触表达的许多蛋白质的影响。

 

亚细胞位置:

细胞膜;脂质锚定。细胞投射,生长锥。注=与形成伸长轴突*的生长锥膜有关。

 

组织特异性:

 

相似性:

属于BASP1家族。

 

重要提示:

本产品仅用于研究用途,不用于人类、治疗或诊断应用

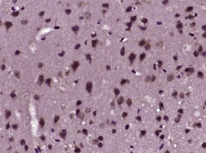
多聚甲醛固定,石蜡包埋(小鼠脑组织);用柠檬酸钠缓冲液(pH6.0)煮沸15min后提取抗原;用3%过氧化氢阻断内源性过氧化物酶20分钟;阻断缓冲液(正常山羊血清)37℃30min;用(BASP1)PYC抗体孵育未结合的克隆抗体在1:400下在4°C下过夜,然后根据SP试剂盒(兔子)说明和DAB染色进行操作。

公司优势:
1)质量:我司提供的的试剂为世界。
2)价格:价格实惠,量大从优。
4)服务:提供完整的售前、售后和售中服务。售后到底。

如需订购脑富含膜附着信号蛋白1抗体(BASP1)​​​​​​,请联系我们。

Anti-HSP-70 (Heat shock protein-70)  热休克蛋白-70抗体
Anti-HSP-90α(Heat Shock Protein 90α )  热休克蛋白90α抗体
Anti-HSP-90α(Heat Shock Protein 90α )  热休克蛋白90α抗体
Anti-HSP-90β (heat sock protein-90β)  热休克蛋白-90β 抗体
anti-HtrA2/Omi(mitochondrial intermembrane space)  丝氨酸蛋白酶/线粒体丝氨酸蛋白酶抗体

留言框

  • 产品:

  • 您的单位:

  • 您的姓名:

  • 联系电话:

  • 常用邮箱:

  • 省份:

  • 详细地址:

  • 补充说明:

  • 验证码:

    请输入计算结果(填写阿拉伯数字),如:三加四=7
分享到:
版权所有©2019 上海晅科生物科技有限公司 备案号:京ICP证000000号
  • 扫一扫,关注我们