英文名称:Anti-A Raf
中文名称:A-Raf抗体
抗体来源:兔
克隆类型:多克隆
交叉反应:人、大鼠、小鼠
产品应用:WB=1:500-2000 ELISA=1:500-1000 IHC-P=1:400-800 IHC-F=1:400-800 IF=1:100-50(石蜡切片需做抗原修复)
尚未在其他应用程序中测试。
用户终应确定合适稀释浓度。
分子量:68kDa
细胞定位:细胞浆
状态:冻干或液体
浓度:1mg/ml
来源于:KLH conjugated synthetic peptide derived from human A Raf/ARAF:151-250/606
亚型:IgG
纯化方法:affinity purified by Protein A
储存液:0.01M TBS(pH7.4) with 1% BSA, 0.03% Proclin300 and 50% Glycerol.
别 名:A raf 1; A-Raf; Raf1; A Raf proto oncogene serine/threonine protein kinase; ARAF 1; ARAF; ARaf proto oncogene serine/threonine protein kinase; ARAF1; Oncogene Araf1; Oncogene PKS2; PKS 2; PKS; PKS2; Proto oncogene Pks; RAFA 1; RAFA1; Ras binding protein DA Raf; v raf murine sarcoma 3611 viral oncogene homolog; v raf murine sarcoma 3611 viral oncogene homolog 1; v raf oncogene homolog 1 (murine sarcoma 3611 virus).
保存条件:在-20°C下保存一年。避免重复冻融循环。冻干抗体在室温下至少稳定一个月,并在-20°C下保持一年以上。当在无菌pH7.4 0.01M PBS或抗体稀释剂中重组时,抗体在2-4°C下至少稳定两周。
产品介绍
信号蛋白的raf家族有三种亚型:a raf、raf 1和b raf。这些蛋白有助于将有丝分裂原产生的刺激从单体G蛋白转移到MAP激酶途径。已知raf 1位于ras的下游,并通过一个N端非催化域与之结合。这个域保存在一个raf和b raf中。14-3-3也被认为是RAF的激活剂。活化的raf直接磷酸化并激活mek。RAF在泌尿生殖器官和肾脏组织中的表达浓度很高。
功能:
参与从细胞膜到细胞核的有丝分裂信号传导。
组织特异性:
主要在泌尿生殖组织。
相似性:
属于蛋白激酶超家族。tkl-ser/thr蛋白激酶家族。RAF亚家族
含有1个佛波酯/DAG型锌指。
包含1个蛋白激酶域。
包含1个RBD(RAS绑定)域。
重要注意事项:
本产品仅用于研究用途,不用于人类、治疗或诊断应用。
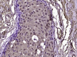
多聚甲醛固定,石蜡包埋(人乳腺癌);用柠檬酸钠缓冲液(pH6.0)煮沸15min后获得抗原;用3%过氧化氢阻断内源性过氧化物酶20分钟;阻断缓冲液(正常山羊血清)37℃30min;抗体(A rAF)多克隆抗体在1:4孵育。00在4°C下过夜,然后根据SP试剂盒(兔子)说明和DAB染色进行操作。
公司优势:
1)质量:我司提供的的试剂为世界。
2)价格:价格实惠,量大从优。
4)服务:提供完整的售前、售后和售中服务。售后到底。
如需订购A-Raf抗体,请联系我们。
| Anti-IRS-1 胰岛素受体底物-1抗体 |
| Anti-IRS-2 胰岛素受体底物-2抗体 |
| Anti-IRS-3 胰岛素受体底物-3抗体 |
| Anti-IRS-4 胰岛素受体底物-4抗体 |
| Anti-ISR(Insulin Receptor) 胰岛素受体抗体 |
| Anti-ISR-α (Insulin Receptor-α) 胰岛素受体-α抗体 |
| Anti-ISR-β (Insulin Receptor-β) 胰岛素受体-β抗体 |
| Anti-ITG-α/ CD49d 整合素α4抗体 |
| Anti-ITG-β1/CD29(integrin β1) 粘附分子整合素β1抗体 |
| Anti-ITG-α5/CD49e(Integrin α5) 粘附分子整合素α5抗体 |