您的位置: 网站首页 >> 产品中心 >> >> 抗体 > 二磷酸3核苷酸酶抗体(BPNT1)
产品名称:

二磷酸3核苷酸酶抗体(BPNT1)

产品型号: 产品时间: 2023-03-08
二磷酸3核苷酸酶抗体(BPNT1)是一个镁依赖、锂敏感的磷酸单酯酶超家族成员。以镁为辅因子,BPNT1催化PAP(腺苷3’-磷酸5’磷酸硫酸盐)转化为APS(腺苷5’-磷酸硫酸盐)以及PAP(3’-磷酸腺苷5’磷酸)转化为AMP(腺苷5’-磷酸)。BPNT1在大脑和肾脏中普遍表达,被锂有效抑制,锂是一种用于治疗躁狂抑郁和双相情感障碍的药物,提示BPNT1可能在情绪障碍的病因中发挥作用。

产品概述

英文名称:Anti-BPNT1​

中文名称:二磷酸3核苷酸酶抗体(BPNT1)

抗体来源:兔子

克隆类型:多克隆

交叉反应:人、小鼠、大鼠、牛

产品应用:WB=1:500-2000 ELISA=1:500-1000 IHC-P=1:100-500 IHC-F=1:100-500 ICC=1:100-500 IF=1:100-500(石蜡切片需做抗原修复)

分  子 量:33kDa

​细胞定位:细胞浆 细胞外基质

状态:冻干或液体

浓度:1mg/ml

来源于:KLH conjugated synthetic peptide derived from human BPNT1:2-100/308

亚型:IgG

纯化方法:affinity purified by Protein A

储存液:0.01M TBS(pH7.4) with 1% BSA, 0.03% Proclin300 and 50% Glycerol.

别    名:4-phosphatase; Bisphosphate 3 prime nucleotidase; Bpnt1; BPNT1_HUMAN; BPntase; PAP inositol 1,4 phosphatase; PAP-inositol-1; PIP.

保存条件:在-20°C下保存一年。避免反复冻融。冻干抗体在室温下至少稳定一个月,并在-20°C下保持一年以上。当在无菌pH7.4 0.01M PBS或抗体稀释剂中重组时,抗体在2-4°C下至少稳定两周。

 

​产品介绍:

BPNT1是一个镁依赖、锂敏感的磷酸单酯酶超家族成员。以镁为辅因子,BPNT1催化PAP(腺苷3’-磷酸5’磷酸硫酸盐)转化为APS(腺苷5’-磷酸硫酸盐)以及PAP(3’-磷酸腺苷5’磷酸)转化为AMP(腺苷5’-磷酸)。BPNT1在大脑和肾脏中普遍表达,被锂有效抑制,锂是一种用于治疗躁狂抑郁和双相情感障碍的药物,提示BPNT1可能在情绪障碍的病因中发挥作用。对bpnt1的抑制导致pap的积累和随后对硫转移酶的抑制,这可能导致基因表达的改变、磷脂酰肌醇第二信使功能的改变和/或硫酸化过程的改变。

 

功能:

将3’-磷酸5’-磷酸腺苷(PAP)转化为5’-磷酸腺苷(APS),将3’-磷酸腺苷5’-磷酸(PAP)转化为AMP。对肌醇1,4-二磷酸(INS(1,4)p2)和肌醇1,3,4-三磷酸(INS(1,3,4)p3的活性降低1000倍,但不水解INS(1)p、INS(3,4)p2、INS(1,3,4,5)p4或INSp6。

 

组织特异性:

在肾脏、肝脏、胰腺和心脏中高度表达。在脑、胎盘、肺和骨骼肌的较低水平检测。

 

相似性:

属于肌醇单磷酸酶家族。

 

重要提示:

本产品仅用于研究用途,不用于人类、治疗或诊断应用

​​​​

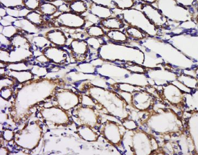
组织/细胞:小鼠肾组织;4%多聚甲醛固定石蜡包埋;

抗原提取:柠檬酸缓冲液(0.01M,pH 6),15min煮沸,用3%过氧化氢阻断内源性过氧化物酶30min;37℃下阻断缓冲液(正常山羊血清)20 min;

孵育:抗bpnt1多克隆抗体,未结合1:200,4°C下过夜,然后与二级抗体结合,DAB染色。

公司优势:
1)质量:我司提供的的试剂为世界。
2)价格:价格实惠,量大从优。
4)服务:提供完整的售前、售后和售中服务。售后到底。

如需订购二磷酸3核苷酸酶抗体(BPNT1)​​,请联系我们。

Anti-ITG-α5/CD49e(Integrin α5)  粘附分子整合素α5抗体
Anti-ITG-β3/CD61(Integrin β chain,β3 precursor)  整合素-β3抗体
Anti-JNK1/3 (c-Jun amino-terminal kinase 1/3)  c-Jun氨基末端激酶1/3抗体
Anti-KATPC (ATP-Sensitive K+ Channel Subunits uKATP-1—ATP)  ATP敏感性钾通道蛋白抗体

留言框

  • 产品:

  • 您的单位:

  • 您的姓名:

  • 联系电话:

  • 常用邮箱:

  • 省份:

  • 详细地址:

  • 补充说明:

  • 验证码:

    请输入计算结果(填写阿拉伯数字),如:三加四=7
分享到:
版权所有©2019 上海晅科生物科技有限公司 备案号:京ICP证000000号
  • 扫一扫,关注我们