您的位置: 网站首页 >> 产品中心 >> >> 抗体 > 嗜乳脂蛋白2亚型A1抗体(BTN2A1)
产品名称:

嗜乳脂蛋白2亚型A1抗体(BTN2A1)

产品型号: 产品时间: 2023-03-08
嗜乳脂蛋白2亚型A1抗体(BTN2A1)这个基因编码免疫球蛋白超家族的一个成员。该基因位于6号染色体上主要组织相容性复合体juxta端粒区的一个类酪蛋白基因簇中。在这个簇中已经鉴定出这个基因的一个假基因。编码蛋白是一种参与脂质、脂肪酸和甾醇代谢的完整质膜蛋白。这种基因的改变可能与包括代谢综合征在内的几种疾病状态有关。该基因有多种编码不同亚型的选择性剪接转录变体。

产品概述

英文名称:Anti-BTN2A1​

中文名称:嗜乳脂蛋白2亚型A1抗体(BTN2A1)

抗体来源:兔子

克隆类型:多克隆

交叉反应:人

产品应用:ELISA=1:500-1000 IHC-P=1:100-500 IHC-F=1:100-500 Flow-Cyt=3μg/Test ICC=1:100-500 IF=1:100-500(石蜡切片需做抗原修复)

分  子 量:57kDa

​细胞定位:细胞膜

状态:冻干或液体

浓度:1mg/ml

来源于:KLH conjugated synthetic peptide derived from human BTN2A1:101-200/527 <Extracellular>

亚型:IgG

纯化方法:affinity purified by Protein A

储存液:0.01M TBS(pH7.4) with 1% BSA, 0.03% Proclin300 and 50% Glycerol.

别    名:BK14H9.1; BT2.1; BT2A1_HUMAN; BTF1; BTN2A1; Butyrophilin BTF1; Butyrophilin subfamily 2 member A1; CTA-14H9.1; DJ3E1.1.

保存条件:在-20°C下保存一年。避免反复冻融。冻干抗体在室温下至少稳定一个月,并在-20°C下保持一年以上。当在无菌pH7.4 0.01M PBS或抗体稀释剂中重组时,抗体在2-4°C下至少稳定两周。

 

​产品介绍:

这个基因编码免疫球蛋白超家族的一个成员。该基因位于6号染色体上主要组织相容性复合体juxta端粒区的一个类酪蛋白基因簇中。在这个簇中已经鉴定出这个基因的一个假基因。编码蛋白是一种参与脂质、脂肪酸和甾醇代谢的完整质膜蛋白。这种基因的改变可能与包括代谢综合征在内的几种疾病状态有关。该基因有多种编码不同亚型的选择性剪接转录变体。[参考文献编号:2013年7月]

 

亚细胞位置:

膜;单通I型膜蛋白

 

组织特异性:

在脑、骨髓、小肠、肌肉、脾脏和胰腺中高度表达。肺、肝、肾组织中度表达。

 

相似性:

属于免疫球蛋白超家族。BTN/MOG系列。

包含1个B30.2/SPRY域。

包含1个免疫球蛋白样V型(免疫球蛋白样)结构域。

 

重要提示:

本产品仅用于研究用途,不用于人类、治疗或诊断应用

​​​​​

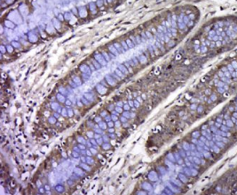
多聚甲醛固定,石蜡包埋(人结肠癌);用柠檬酸钠缓冲液(pH6.0)煮沸15min后获得抗原;用3%过氧化氢阻断内源性过氧化物酶20分钟;阻断缓冲液(正常山羊血清)37℃30min;用BTN2A1聚体进行抗体孵育克隆抗体,未结合,1:400,4°C下过夜,然后结合二级20分钟,DAB染色。

公司优势:
1)质量:我司提供的的试剂为世界。
2)价格:价格实惠,量大从优。
4)服务:提供完整的售前、售后和售中服务。售后到底。

如需订购嗜乳脂蛋白2亚型A1抗体(BTN2A1)​​​,请联系我们。

Anti-Ki-67  Ki-67 Antigen抗体
Anti-Kiss-1 (Metastasis-suppressor KiSS-1 precursor)  肿瘤转移抑制基因抗体
Anti-Klf4 (Kruppel likefactor 4)  肠道内富含的Kruppel样因子/上皮锌指蛋白抗体
Anti-KLH  血蓝蛋白抗体
Anti-κOR (kappa Opioid receptor)  kappa型阿片受体抗体
Anti-K-ras  原癌基因K-ras抗体

留言框

  • 产品:

  • 您的单位:

  • 您的姓名:

  • 联系电话:

  • 常用邮箱:

  • 省份:

  • 详细地址:

  • 补充说明:

  • 验证码:

    请输入计算结果(填写阿拉伯数字),如:三加四=7
分享到:
版权所有©2019 上海晅科生物科技有限公司 备案号:京ICP证000000号
  • 扫一扫,关注我们