您的位置: 网站首页 >> 产品中心 >> >> 抗体 > 乳腺癌易感基因1抗体
产品名称:

乳腺癌易感基因1抗体

产品型号: 产品时间: 2023-03-08
BRCA1基因是早被发现的乳腺癌易感基因其突变和家族性乳腺癌、卵巢癌的发病有关。乳腺癌易感基因1抗体应用:IHC-P=1:100-500 IHC-F=1:100-500 Flow-Cyt=1μg/Test ICC=1:100-500 IF=1:100-500

产品概述

英文名称:Anti-BRCA1​

中文名称:乳腺癌易感基因1抗体

抗体来源:兔子

克隆类型:多克隆

交叉反应:人、小鼠、大鼠、牛、马、兔、羊​

产品应用:IHC-P=1:100-500 IHC-F=1:100-500 Flow-Cyt=1μg/Test ICC=1:100-500 IF=1:100-500(石蜡切片需做抗原修复)

分  子 量:199kDa

​细胞定位:细胞核

状态:冻干或液体

浓度:1mg/ml

来源于:KLH conjugated synthetic peptide derived from human BRCA1:1-100/1863

亚型:IgG

纯化方法:affinity purified by Protein A

储存液:0.01M TBS(pH7.4) with 1% BSA, 0.03% Proclin300 and 50% Glycerol.

别    名:BRCA 1; BRCA1; BRCA1/BRCA2 containing complex subunit 1; BRCA1/BRCA2-containing complex, subunit 1; BRCA1_HUMAN; BRCAI; BRCC 1; BRCC1; Breast and ovarian cancer susceptibility protein 1; Breast Cancer 1; Breast Cancer 1 Early Onset; Breast cancer type 1 susceptibility protein; BROVCA1; IRIS; PNCA4; PPP1R53; Protein phosphatase 1 regulatory subunit 53; PSCP; RING finger protein 53; RING finger protein 53; RNF53; BAP1.

保存条件:在-20°C下保存一年。避免反复冻融。冻干抗体在室温下至少稳定一个月,并在-20°C下保持一年以上。当在无菌pH7.4 0.01M PBS或抗体稀释剂中重组时,抗体在2-4°C下至少稳定两周。

 

​产品介绍:

该基因编码一种在维持基因组稳定性中起作用的核磷蛋白,并作为肿瘤抑制因子发挥作用。编码蛋白与其他肿瘤抑制因子、DNA损伤传感器和信号转导子结合形成一个大的多亚单位蛋白复合物,称为BRCA1相关基因组监测复合物(BASC)。该基因产物与RNA聚合酶Ⅱ结合,并通过C端域与组蛋白脱乙酰基酶复合物相互作用。因此,这种蛋白在转录、双链断裂的DNA修复和重组中起到作用。该基因突变导致约40%的遗传性乳腺癌和80%以上的遗传性乳腺癌和卵巢癌。选择性剪接对该基因的亚细胞定位和生理功能起着调节作用。许多选择性剪接的转录变体,其中一些是疾病相关的突变,已经被描述为这个基因,但只有一些变体的全长性质已经被描述。已经鉴定出一个相关的假基因,也位于17号染色体上。[由RefSeq提供,2009年5月]。

 

功能:

E3泛素蛋白连接酶,专门介导“Lys-6”连接的多泛素链的形成,并通过促进细胞对DNA损伤的反应在DNA修复中起到中心作用。目前尚不清楚它是否也能介导其他类型的多泛素链的形成。E3泛素蛋白连接酶活性是肿瘤抑制功能所必需的。BRCA1-BARD1异二聚体协调多种细胞途径,如DNA损伤修复、泛素化和转录调节,以维持基因组的稳定性。调节中心体微管成核。正常细胞周期从G2到有丝分裂所需。在细胞周期的s相和g2相电离辐射后适当的细胞周期停止所需的。参与p21对DNA损伤的转录调控。需要将Fancd2定位到DNA损伤部位。可能作为转录调节器发挥作用。通过与palb2的直接相互作用促进同源重组修复(hrr),部分微调重组修复通过其在DNA断裂处BRCA2-RAD51修复机械的palb2依赖性负载中的调节作用。BRCA1-RBBP8复合物的组成部分,通过BRCA1介导的RBBP8泛素化(通过相似性)调节CHEK1活化并控制DNA损伤的细胞周期G2/M检查点。通过结合非活性磷酸化ACACA并防止其去磷酸化来抑制脂质合成。

 

子单元:

异二聚体与bard1。BRCA1相关基因组监测复合体(BASC)的一部分,包含BRCA1、MSH2、MSH6、MLH1、ATM、BLM、PMS2和MRE11-RAD50-NBN蛋白(MRN)复合体。这种关联可能是一个动态过程,在细胞周期和亚核区域内发生变化。BRCA1-A复合体的组成部分,至少由BRCA1、BARD1、UIMC1、BRCC3、BRE和BABAM1组成。(通过brct域)与fam175a相互作用(通过brct域)与rbbp8(‘ser-327’磷酸化形式)相互作用;相互作用泛素化rbbp8,调节chek1活化,并涉及brca1依赖的g2/m检查点控制中的rbbp8对DNA损伤。与RNA聚合酶Ⅱ全酶有关。与SMC1A和COBRA1相互作用。(通过BRCT域)与BRIP1(磷酸化形式)相互作用。与FANCD2(泛素化形式)相互作用。与BAP1交互。与DCLRE1C和CLSPN交互。与h2afx相互作用(在“ser-140”上磷酸化)。与CHEK1和CHEK2交互。与BRCC3交互。与奥尔卡互动。与UBXN1交互。包含BRCA1、BRCA2和PALB2的三聚体复合体的一部分。与PALB2直接相互作用;这种相互作用对其在HRR中的作用至关重要。直接与BRCA2相互作用;这种相互作用只在作为桥接蛋白的palb2存在时发生。(通过BRCT域)与LMO4相互作用;这种相互作用抑制BRCA1的转录活性。与KIAA0101/PAF15交互(通过相似性)。(通过brct域)与acaca(磷酸化形式)相互作用;这种相互作用阻止acaca的去磷酸化。

 

亚细胞位置:

原子核。染色体。注=位于双链断裂处的DNA损伤部位(DSB);恢复到DNA损伤部位由BRCA1-A复合体介导。

 

重要提示:

本产品仅用于研究用途,不用于人类、治疗或诊断应用

​BRCA1基因是早被发现的乳腺癌易感基因其突变和家族性乳腺癌、卵巢癌的发病有关。

​​​​​​

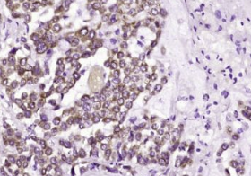
多聚甲醛固定,石蜡包埋(人宫颈癌);用柠檬酸钠缓冲液煮沸(15分钟)提取抗原;用3%过氧化氢阻断内源性过氧化物20分钟;阻断缓冲液(正常山羊血清)37℃30分钟;抗体孵育(BRCA1)多克隆抗体,未结合,1:400,4°C下过夜,然后根据SP试剂盒(兔子)说明和DAB染色进行操作。

公司优势:
1)质量:我司提供的的试剂为世界。
2)价格:价格实惠,量大从优。
4)服务:提供完整的售前、售后和售中服务。售后到底。

如需订购乳腺癌易感基因1抗体,请联系我们。

Anti-Laminin alpha5  层粘蛋白α5抗体
Anti-L-Citrulline (Rabbit Anti-L-Citrulline)  抗L-瓜氨酸抗体
Anti-LDL-R (Low-density lipoprotein receptor precursor)  低密度脂蛋白受体抗体
Anti-Leptin  瘦素抗体
Anti-Leptin  瘦素抗体

留言框

  • 产品:

  • 您的单位:

  • 您的姓名:

  • 联系电话:

  • 常用邮箱:

  • 省份:

  • 详细地址:

  • 补充说明:

  • 验证码:

    请输入计算结果(填写阿拉伯数字),如:三加四=7
分享到:
版权所有©2019 上海晅科生物科技有限公司 备案号:京ICP证000000号
  • 扫一扫,关注我们